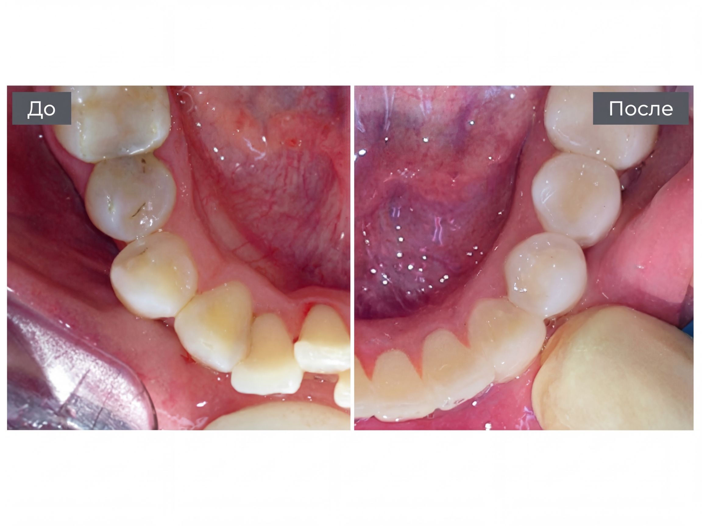
Скученность зубов: причины и способы лечения
Деформация зубных рядов, которая характеризуется их тесным расположением, в ортодонтии называется скученностью. Это одна из самых распространённых стоматологических проблем. Скученность зубов встречается у 34% детей и 69% взрослого населения. Большинство людей, страдающих таким дефектом, живут с ним на протяжении всей жизни, считая это лишь эстетическим недостатком. Однако скученность часто может приводить к более серьёзным проблемам, чем непривлекательный внешний вид. Она — причина неправильного прикуса, возникновения хронических воспалений в ротовой полости и других стоматологических проблем.
К возникновению дефекта приводят как врождённые (макро- и микродентия и т. д.), так и приобретённые причины. К последним относят:
- преждевременная потеря молочных зубов;
- непроизвольное дыхание ртом из-за респираторных заболеваний;
- недостаток кальция из-за несбалансированного питания;
- получение травм;
- смещение моляров зубами мудрости.
Проблема может возникнуть как в детстве, так и в период прорезывания зубов мудрости на нижней или верхней челюсти (16-27 лет). Скученность передних зубов часто приводит к возникновению комплексов, может вызывать дискомфорт во время жевания и откусывания. Диагностируется дефект при помощи визуального осмотра, рентгеновского снимка челюстей и биометрических измерений.
Стадии развития
Скученность зубов нижней или верхней челюсти имеет несколько видов. Она классифицируется в соответствии с особенностями расположения резцов и моляров. Различают следующие степени скученности зубов:
- Лёгкая: естественная форма зубного ряда не нарушена, дефицит места не превышает 3 мм. В этом случае зубы визуально расположены максимально близко друг к другу, но находятся в одной линии.
- Средняя: недостаток места в челюсти составляет 4–6 мм, а один зуб меняет положение (разворачивается вокруг своей оси или отклоняется от зубного ряда).
- Тяжёлая: диагностируется как смещение двух или больше зубов, сопровождается нарушением естественной формы зубного ряда (недостаток места 7 мм), деформацией альвеолярного отростка.
Скученность может образовывать на обеих зубных дугах как спереди, так и сбоку. Чаще всего она возникает во фронтальном отделе.
Лечение у детей и взрослых
Данная проблема достаточно актуальна в детском возрасте. Мнение о том, что её можно игнорировать на молочных зубах ошибочно, ведь дефект непременно даст о себе знать в будущем. Исправление скученности зубов стоит начинать уже в 4–5 лет. В первую очередь нужно избавиться от причины возникновения, насколько это возможно (отучить сосать палец, исключить ротовое дыхание). В этом возрасте ортодонт назначает мио-гимнастику и массаж для расслабления мышц челюстного сустава. Детям постарше назначают ортодонтические пластинки или капы, а установка брекетов рекомендуется с 12–14 лет.
Ортодонтическое лечение скученности зуб ов нижней или верхней челюсти чаще всего наиболее эффективно в подростковом или взрослом возрасте. В зависимости от степени дефекта, врач предлагает наиболее подходящий способ его устранения. При тяжёлой форме может потребоваться удаление некоторых резцов или моляров, хирургическое вмешательство. Лёгкую и среднюю степень скученности корректируют при помощи брекет-систем.
Обычно ортодонтическое лечение проводится на нижней и верхней челюсти. После снятия брекетов важно обязательно закрепить результат, чтобы избежать возвращения зубов на прежнее место. Для этого используют специальные прозрачные капы.
Устранение нарушения должен проводить квалифицированный специалист. Перед тем как начать лечение стоит изучить отзывы о клинике и лечащем враче, обратить внимание на качество материалов, которые будут использоваться.



