|
Метод лечения прямого прикуса |
Возраст пациентов (со скольки лет можно применять) |
Срок лечения |
Особенности |
|
Элайнеры |
с 12–14 лет (после формирования постоянного прикуса) |
6–18 месяцев |
Прозрачные капы, 3D-планирование, важна дисциплина ношения. |
|
Аппараты |
с 6–12 лет |
6–18 месяцев |
Функциональные аппараты и съёмные пластинки, работают в период роста. |
|
Трейнеры |
с 5–10 лет |
от 6 месяцев до 1,5 лет |
Помогают корректировать мышечный дисбаланс, дыхание, положение языка. |
|
Брекет-системы |
с 12–13 лет |
1–2 года |
Подходят для более сложных случаев. |
|
Миофункциональная гимнастика |
с 4–6 лет |
курсы лечения от нескольких месяцев |
Нормализует баланс мышц, помогает закрепить результат ортодонтического лечения, устраняет функциональные причины. |
|
Хирургическое лечение |
после завершения роста челюстей (в основном после 18 лет) |
Проводится поэтапно: ортодонтическая подготовка + операция + восстановление |
Выполняется по строгим показаниям при выраженных скелетных нарушениях |
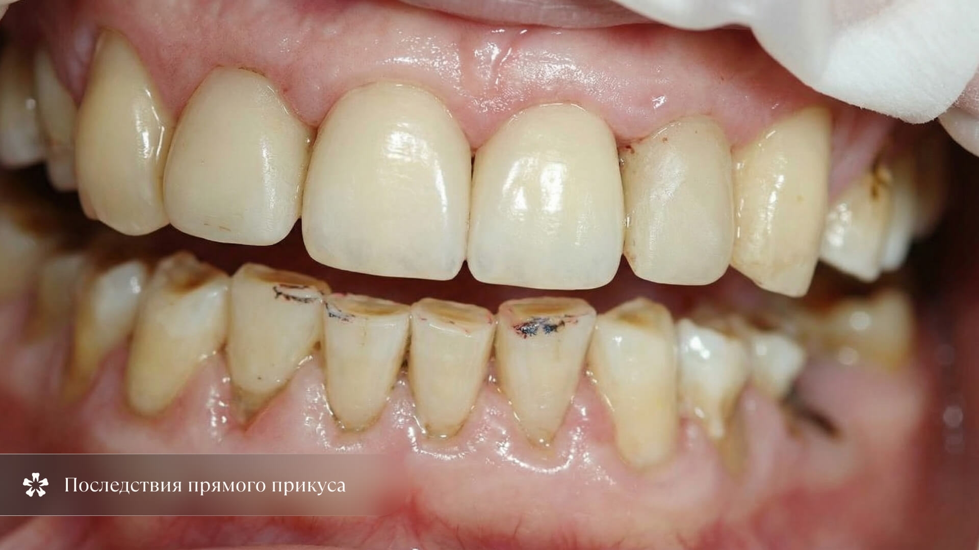
Прямой прикус — состояние, когда зубы верхней и нижней челюсти контактируют своими режущими краями. В норме верхние резцы должны перекрывать нижние до ½ высоты коронки, но при прямой окклюзии этого не происходит. Так как внешне улыбка выглядит аккуратной, проблема может долго оставаться незамеченной, вплоть до появления осложнений.
Прямая окклюзия создает избыточную нагрузку на зубы, что отражается на их состоянии. Желание исправить прямой прикус часто возникает уже тогда, когда пациент замечает стираемость эмали, повышенную чувствительность зубов, быстрое их разрушение, склонность к воспалению десен и кариесу.
Лечение прямого прикуса помогает восстановить правильное смыкание резцов и перераспределить жевательную нагрузку. Выбор метода зависит от возраста человека (пациента), состояния зубов, особенностей прикуса. Для исправления дефекта применяются различные ортодонтические конструкции и аппараты, например, элайнеры или брекет-системы. В статье подробно разобрано как проводится диагностика, какие варианты коррекции используются и что помогает предотвратить развитие осложнений.
Что такое прямой прикус

Данная форма окклюзии представляет собой вариант смыкания зубных рядов, при котором верхние и нижние резцы соприкасаются своими режущими краями. В отличие от физиологического прикуса при рассматриваемом состоянии отсутствует перекрытие резцов. Подобную картину нельзя считать нормой, так как нагрузка в процессе жевания распределяется неравномерно. Со временем она начинает влиять на состояние эмали и тканей пародонта.
Внешние и внутриротовые признаки
Чаще всего патология развивается постепенно. Она нередко проявляется внешне здоровой улыбкой, поэтому долго не воспринимается как проблема. Но заметить дефект окклюзии все же можно по характерным проявлениям.
Внешние признаки:
-
верхние и нижние резцы контактируют своими краями, без защитного перекрытия, что сразу увеличивает нагрузку на эмаль;
-
режущие края резцов выстраиваются почти в одну прямую линию улыбки, без плавного перехода, характерного для их физиологического смыкания;
-
чтобы удержать привычное положение челюстей, приходится напрягать круговую мышцу рта, из-за чего губы выглядят поджатыми;
-
постоянный контакт краев зубов приводит к их быстрому стиранию и уменьшению высоты коронок, вследствие чего высота нижней трети лица уменьшается.
Внутриротовые признаки:
-
режущие края постепенно уменьшаются, на зубах появляются микротрещины, эмаль становится тоньше, чувствительнее;
-
из-за нагрузки при откусывании может появля ться усталость или чувство напряжения в мышцах, болезненные ощущения;
-
при открывании и закрывании рта в височно-нижнечелюстном суставе могут возникать щелчки, дискомфорт, боль;
-
неправильное положение резцов и языка мешает формированию четкой артикуляции, из-за чего появляются дефекты произношения свистящих или шипящих звуков;
-
прямой контакт режущих поверхностей резцов делает процесс откусывания менее контролируемым, в особенности твердой пищи, что влечет за собой травму зубов и болезненные ощущения.
Отличие прямого прикуса от нормального
В норме верхние резцы перекрывают нижние примерно на одну треть их высоты. Такое соотношение обеспечивает равномерное распределение нагрузки, защищает эмаль от быстрого стирания, способствует правильной работе мышц.
При прямом прикусе этого перекрытия нет. Зубы контактируют своими режущими краями, из-за чего наг рузка становится более неравномерной, травмирующей. Именно эта особенность отличает прямую окклюзию от нормы и объясняет, почему ее рассматривают как функциональное отклонение, требующее коррекции.
Причины формирования прямого прикуса
Прямая окклюзия формируется не одномоментно и, как правило, сразу по нескольким причинам. На рост челюстей, расположение зубов, тип смыкания влияет много факторов: от наследственности до вредных привычек и перенесенных травм. Понимание этих факторов важно не только для постановки диагноза, но также выбора тактики лечения. В одних случаях достаточно ортодонтической коррекции, в других же требуется более комплексный подход с учетом роста челюстей и функциональных нарушений.
Врожденные и наследственные факторы
Особенности строения челюстей, а также зубных рядов часто передаются по наследству. Если у родителей было нарушение окклюзии, риск формирования аналогичного дефекта у ребенка возрастает. З начение имеют размеры и форма челюстей, соотношение верхней и нижней дуги, также на формирование прикуса могут повлиять заболевания, перенесенные во время беременности. Среди них анемия, авитаминозы, погрешности в питании, вредные привычки (курение, алкоголь, наркотики), воздействие препаратов с тератогенным эффектом, токсинов или ионизирующего излучения.
Ошибки в детском возрасте
В первые годы жизни ребенка прикус особенно чувствителен к внешним воздействиям. Длительное использование пустышки, сосание пальца или игрушек, неправильное положение языка при глотании постепенно меняют направление роста челюстей. Преобладание мягкой пищи в меню снижает жевательную нагрузку, вследствие этого развитие челюстей замедляется.
Нарушения при смене молочных зубов
Период смены зубов является одним из ключевых этапов формирования правильной окклюзии. Если молочные зубы выпадают слишком рано или, наоборот, сохраняются дольше положенного, то постоянные могут занимать неправильное положение. Скученность, нехватка места в зубном ряду или наличие сверхкомплектных зубов меняют характер смыкания челюстей.
Травмы лица
Травмы лица или челюстей, особенно в детстве, могут нарушить рост костей, вызвать смещение зубов. Даже однократное повреждение, полученное в период активного развития, иногда отражается на положении челюстей в будущем. Родовые травмы, удары, падения, повреждения зубочелюстного аппарата способны изменить смыкание передних зубов.
Чем опасен прямой прикус

Такой тип смыкания часто недооценивают, потому что на ранних этапах он может не доставлять особого дискомфорта. Зубы выглядят ровными, смыкание кажется стабильным. Однако постоянный контакт режущих краев постепенно приводит к изменениям, затрагивающим работу всей зубочелюстной системы. Со временем последствия становятся заметными, требуя более сложной коррекции. Основные риски рассматриваемой патологии связаны с избыточной нагрузкой, которая распределяется неравномерно.
Стоматологические последствия
-
Стираемость, разрушение эмали. При прямом контакте резцов их края подвергаются постоянной нагрузке, из-за чего эмаль истончается. Со временем появляются сколы, микротрещины, участки оголения дентина.
-
Коронка может стираться, со временем вызывая значительное уменьшение высоты зуба.
-
Гиперчувствительность зубов. Истончение эмали делает их более чувствительными к холодному, горячему, кислому. Дискомфорт может возникать даже при обычных гигиенических процедурах.
-
Заболевания десен. Плотное смыкание зубов и повышенная нагрузка на твердые ткани создают благоприятные условия для развития воспалительных заболеваний десен.
Функциональные нарушения
-
Дисфункция височно-нижнечелюстного сустава (ВНЧС). Его работа с перегрузкой может сопровождаться щелчками, болями в области уха, висков, шеи, ограничением открывания рта.
-
Трудности при жевании, откусывании пищи. Передние зубы не приспособлены к высокой нагрузке, поэтому процесс откусывания становится менее эффективным, может появляться напряжение в жевательных мышцах.
-
Проблемы с речью. Измененное положение зубов или языка может отражаться на дикции. Хуже получаются свистящие, а также шипящие звуки.
Эстетические изменения
-
Изменение пропорций лица. По мере стираемости зубов уменьшается высота нижней трети лица, что влияет на внешность.
-
Менее выразительная улыбка. Прямая линия резцов делает улыбку визуально «плоской», верхняя губа может выглядеть поджатой.
-
Влияние на самооценку, уверенность в себе. Изменения внешности могут сопровождаться снижением самооценки, что влечет за собой проблемы в общении с другими людьми. Особенно болезненно могут реагировать дети подросткового возраста.
Показания к лечению прямого прикуса
Такая особенность смыкания не всегда требует немедленной коррекции. В ряде случаев дефект остается стабильным, не вызывая осложнений. Поэтому важно понимать разницу между ситуацией, когда особенность прикуса просто есть, и состоянием, при котором лечение действительно необходимо.
Надо ли исправлять прямой прикус, решает ортодонт исходя из клинической ситуации, возраста пациента, динамики изменений. При определении тактики он руководствуется тем, какое влияние нарушение окклюзии оказывает на состояние зубочелюстной системы и организма в целом.
Возраст для начала
При выявлении прямого типа окклюзии у ребенка часто выбирают выжидательную тактику. Пока челюсти растут, а постоянные зубы продолжают прорезываться, есть вероятность, что характер смыкания резцов изменится естественным образом. Ортодонт в этом случае контролирует формирование прикуса, регулярно оценивает динамику.
Для взрослых пациентов ситуация иная. Когда рост челюстей уже завершен, любые признаки перегрузки зубов или суставов требуют более внимательного подхода к лечению.
Эстетические показания
Несмотря на то, что улыбка при прямой окклюзии выглядит ровной, почти «голливудской», лечение может быть рекомендовано уже при появлении первых внешних изменений. К ним относят выраженную стираемость передних зубов, сглаживание режущих краев, изменение линии улыбки. Если пациент отмечает, что улыбка стала менее выразительной или внешний вид зубов изменился, это повод для обращения к ортодонту.
Функциональные показания
Функциональные нарушения считаются одним из ключевых критериев для назначения лечения. Показаниями к коррекции прикуса служат:
-
дискомфорт или боль при жевании;
-
щелчки;
-
болезненность в области височно-нижнечелюстного сустава.
Также должно насторожить появление признаков перехода прямого типа окклюзии в более выраженную аномалию или развитие бруксизма.
Профилактические показания
Даже при отсутствии выраженных жалоб исправление дефекта может проводиться как профилактическая мера. Это актуально при заметной стираемости эмали, склонности к сколам, перегрузке отдельных зубов или суставов. В подобных случаях ортодонтическая коррекция позволяет заранее снизить нагрузку, замедлить разрушение твердых тканей, предотвратить более серьезные осложнения в будущем.
Таким образом, решение о необходимости лечения принимается индивидуально. Его цель не просто в изменении смыкания зубов, а в сохранении здоровья зубочелюстной систем ы, предупреждении развития необратимых осложнений.
Методы диагностики прямого прикуса
Диагностика прямого прикуса начинается с очного осмотра ортодонта. Она не ограничивается только визуальной оценкой состояния полости рта. В ходе обследования врач определяет как смыкаются зубные ряды, распределяется нагрузка, оценивает риски для суставов и твердых тканей. Для этого используется поэтапный подход, который позволяет установить характер окклюзии в покое и при движении, а затем выбрать обоснованную лечебную тактику.
Визуальный осмотр и анализ внешности
Первый этап обследования включает клинический осмотр. Врач оценивает смыкание зубных рядов, обращает внимание на контакт резцов в области режущих краёв, работу губ и мимических мышц. Также им анализируются пропорции лица, линия улыбки. Выполняется фотопротокол, в котором на фотоснимках фиксируются признаки патологии. Эти меры помогают в дальнейшем отслеживать изменения в ходе лечения.
Рентгенография и КЛКТ
Для более детальной оценки особенностей зубочелюстной системы назначается рентгенологическое исследование. Панорамный снимок позволяет оценить положение корней, состояние зубных рядов. Телерентгенография в боковой проекции используется для анализа соотношения челюстей, типа роста лицевого скелета, наклона передних зубов. Для комплексной диагностики проводится КЛКТ, которая дает трехмерное изображение зубов, челюстей, височно-нижнечелюстных суставов, позволяя детально оценить распределение нагрузки.
Снятие слепков и 3D-анализ
Классическое снятие слепков или внутриротовое 3D-сканирование позволяют получить точную модель зубных рядов. На основе нее врач измеряет индивидуальные размеры зубов и зубных рядов, соответствие размеров зубов друг другу. Позволяет определить скрытые нарушения смыкания зубов, не всегда заметные при обычном осмотре.
Компьютерное моделирование результата лечения
Один из самых современных методов обследования и диагностики — цифровое планирование. С помощью специальных компьютерных программ ортодонт моделирует возможные варианты исправления прямого прикуса, планирует перемещение зубов, оценивает как они будут располагаться после лечения. Такой подход позволяет заранее увидеть ожидаемый результат, выбрать наиболее безопасный, эффективный метод коррекции для конкретного пациента.
Современные методы лечения прямого прикуса
Элайнеры

Элайнеры используют в случаях, когда прямой прикус связан с положением зубов, их наклоном, особенностями контактов резцов, и если ситуация позволяет сместить режущие края зубов, достигнуть более физиологичного смыкания. Такой вариант чаще подходит подросткам и взрослым с постоянными зубами: особенно тем, для кого важно сохранить эстетику в процессе лечения.
Показания:
-
прямой контакт резцов без перекрытия при относительно стабильных контактах жевательных зубов;
-
стираемость передних зубов и необходимость снижения нагрузки на них;
-
дискомфорт при откусывании, чувствительность, начальные признаки перегрузки ВНЧС (может потребоваться предварительная тер апия ВНЧС);
-
желание пройти лечение максимально незаметно, а также иметь возможность снять капу во время еды.
Плюсы:
-
капы прозрачные, не травмируют слизистую;
-
быстрая адаптация;
-
движение зубов рассчитывается заранее с помощью компьютерной программы;
-
конструкция снимается, поэтому чистка зубов не вызывает затруднений;
-
требуется меньше визитов к ортодонту.
Минусы:
-
важно соблюдать режим ношения;
-
может потребоваться комплексный подход в сложных случаях.
Многие ортодонты в России рекомендуют элайнеры FlexiLigner, которые особенно ценятся за возможность точного планирования лечения. Благодаря технологии компьютерного моделирования можно заранее увидеть этапы коррекции патологии, а также спрогнозировать результат. Точная посадка кап, а также применение гипоаллергенного материала для их изготовления обеспечивают комфорт при длительном ношении. Подобные отечественные конструкции не уступают в эффективности конкурентным изделиям зарубежного производства, но обходятся дешевле для пациента и изготавливаются в кратчайшие сроки.
У вас похожий случай? Мы поможем.
Запишитесь на консультацию к ортодонту.
Аппараты

Представляют собой функциональные съемные конструкции для детей. Включают пластинки и аппараты с накусочными площадками, которые хорошо работают в период роста зубочелюстной системы. Они помогают скорректировать направление роста и развития челюстей, устранить вредные привычки, что в итоге помогает улучшить смыкание зубов.
Показания:
-
прямая окклюзия у детей в период сменного прикуса.
Плюсы:
-
проще повлиять на формирование смыкания, пока челюсти развиваются;
-
щадящее воздействие, без постоянных «замочков» и дуг;
-
возможность корректировать функциональные привычки в сочетании с упражнениями.
Минусы:
-
работают только при регулярном ношении;
-
имеют ограничения по точности перемещения зубов:
-
недостаточно эффективны при значительной скученности или выраженном наклонном положении зубов;
-
может временно меняться дикция во время использования.
Трейнеры

Представляют собой эластичные миофункциональные аппараты, которые одновременно влияют на зубы и мышцы рта. Они показаны детям от 5 до 12 лет при начальных или средних формах патологической окклюзии, наличии вредных привычек, ротового дыхания, нарушений артикуляции. Трейнеры помогают мягко направить рост челюстей, а также скорректировать положение зубов в период смены прикуса.
Показания:
-
прямая окклюзия у детей на фоне миофункциональных нарушений;
-
дефекты произношения, давление языка на передние зубы;
-
ранние стадии патологической окклюзии, когда важно остановить прогрессирование.
Плюсы:
-
удобно применять;
-
просты в уходе;
-
не требуют ограничений в питании;
-
можно носить всего несколько часов в сутки;
-
используются преимущественно вечером или ночью, не мешая учебе дневным активностям.
Минусы:
-
требуют адаптации в первые недели;
-
уступают в эффективности брекетам и пластинкам;
-
нужен контроль со стороны взрослых.
Брекет-системы

Брекеты считаются методом выбора тогда, когда патология связана с расположением и наклоном зубов, а для ее исправлении требуется точный контроль их перемещения. Конструкция состоит из несъемной металлической дуги с замочками, закрепленными на поверхности зубов благодаря композитному цементу. Метод хорошо работает у подростков и взрослых, особенно если помимо контакта «край в край» есть скученность, наклоны резцов, нарушения по боковым участкам.
Показания:
-
выраженные зубоальвеолярные изменения, требующие точной коррекции;
-
сочетание рассматриваемой патологии с другими нарушениями окклюзии;
-
необходимость контроля за перемещением каждого зуба.
Плюсы:
-
высокая точность;
-
подходит для более сложных случаев;
-
возможность подбора аппаратуры по типу конструкции, а также материалу изготовления;
-
цена.
Минусы:
-
требуют ограничений в диете:
-
нужна дисциплина, а также регулярное проведение профгигиены;
-
присутствует дискомфорт в первые недели ношения:
-
заметны для окружающих.
Хирургическое лечение

Операция обычно проводится в старшем возрасте, после восемнадцати лет, когда причина прямой окклюзии в скелетных нарушениях. Например, если челюсти растут диспропорционально, а применение методов ортодонтии не позволяет получить стабильное физиологическое смыкание.
Показания:
-
выраженные скелетные нарушения;
-
устойчивые жалобы со стороны ВНЧС при подтвержденной его дисфункции;
-
отсутствие стабильного результата в ходе консервативной коррекции.
Плюсы:
-
можно изменить положение челюстей, а не только зубов;
-
дает стабильный результат там, где только ортодонтические методы коррекции малоэффективны.
Минусы:
-
инвазивность процедуры;
-
необходимость наркоза во время операции, а также восстановительного периода после нее;
-
ограничения в период реабилитации;
-
до и после операции обычно требуется ортодонтическое лечение.
Миофункциональная гимнастика

Упражнения не исправляют прикус без ортодонтического лечения, но часто устраняют то, что снижает его эффективность. Среди таких факторов неправильное положение языка, слабый тонус губ, ротовое дыхание. Гимнастика почти всегда сопутствует аппаратным м етодам коррекции, в качестве поддержки и способа закрепления результата.
Показания:
-
функциональные причины прямой окклюзии;
-
напряжение жевательных мышц, неправильные мышечные привычки;
-
профилактика рецидива после ортодонтического лечения.
Плюсы:
-
простота, безопасность;
-
возможность выполнения упражнений в домашних условиях после обучения специалистом;
-
не требуется применения дополнительных приспособлений;
-
не вызывает у пациентов значительного психологического дискомфорта;
-
подходит детям с раннего возраста.
Минусы:
-
требует регулярности;
-
не заменяет ортодонтического лечения;
-
в детском возрасте необходим контроль со стороны родителей за выполнением упражнений.
Профилактика прямого прикуса

Формирование прикуса начинается задолго до прорезывания первых зубов, а продолжается на протяжении всего детства. Именно поэтому профилактика прямой окклюзии должна быть поэтапной, с учетом возрастных особенностей развития. Чем раньше ее начать, тем меньше риск, что дефект закрепится и понадобится его коррекция в будущем.
Профилактика в период беременности и новорожденности
Закладка зубочелюстной системы происходит еще во внутриутробном периоде, поэтому большое значение имеет состояние здоровья будущей мамы. Полноценное питание, достаточное поступление витаминов и микроэлементов создают основу для правильного развития костной ткани плода. Важно по возможности избегать инфекционных болезней, травм, состояний, которые могут нарушать его внутриутробное развитие, особенно в первом триместре.
После рождения малыша большое значение имеет его положение при грудном вскармливании. Естественное кормление способствует физиологичной работе мышц языка и челюстей, формирует правильные движения при глотании, снижает риск функциональных нарушений в дальнейшем.
Профилактика в дошкольном возрасте (3–6 лет)
В раннем детстве ключевую роль в формировании прикуса играют привычки. Использование соски, как и сосание пальца или кулака, желательно полностью прекратить к одному году. Если эти привычки сохраняются на более длительный срок, они начинают напрямую влиять на положение зубов и характер смыкания.
Не менее важно развитие навыков правильного жевания. Ребенку необходимо постепенно привыкать к твердой пище, которая стимулирует рост челюстей и работу жевательных мышц. В рацион стоит регулярно включать продукты, требующие активного пережевывания, такие как яблоки, морковь, орехи. Это снижает риск формирования прямой окклюзии, помогает челюстям развиваться более гармонично.
Профилактика в школьном возрасте (6–12 лет)
В период сменного прикуса профилактика становится особенно значимой. Регулярные визиты к ортодонту каждые 6–9 месяцев позволяют контролировать рост челюстей, вовремя замечать нарушение их смыкания. Большое значение для формирования прикуса имеет осанка. Неправильное положение головы или постоянная сутулость могут негативно влиять на работу жевательных мышц или положение нижней челюсти.
Также не менее важно следить за дыханием через нос. Хроническое ротовое дыхание, связанное с аденоидами или другими отоларингологическими проблемами, нарушает баланс мышц, а значит может способствовать формированию прямого типа окклюзии. Обязательной мерой профилактики остается своевременное лечение кариеса молочных и постоянных зубов, а также коррекция вредных привычек, если они сохранились.
Комплексный подход к профилактике помогает сохранить физиологичное смыкание зубов, избежать необходимости ортодонтического лечения.
FlexiLigner: инновационное решение для лечения прямого прикуса

Элайнеры сегодня считаются одним из самых комфортных высокоточных способов коррекции прямого прикуса у детей школьного возраста и взрослых. Прозрачные капы постепенно корректируют положение зубов, помогают устранить прямое смыкание резцов и снизить нагрузку на них. При этом лечение проходит незаметно для окружающих, не нарушает привычного образа жизни, позволяет заранее спрогнозировать результат благодаря цифровому планированию.
Важно понимать, что успех коррекции зависит не только от выбранной системы, но и правильной диагностики. Только врач-ортодонт может оценить тип окклюзии, состояние зубов и височно-нижнечелюстных суставов, и наиболее верно оп ределить, как исправить прямой прикус у конкретного пациента.
Точность, удобство, высокий уровень контроля делают лечение элайнерами FlexiLigner предсказуемым и безопасным. По всей России более 1700 врачей прошли обучение работе с этой системой и теперь успешно применяют ее в своей практике. Консультация специалиста поможет понять, подойдет ли лечение элайнерами именно в вашем случае и каких результатов можно ожидать.
Начните путь к идеальной улыбке уже сегодня
Запишитесь на консультацию к ортодонту и получите персональный план лечения прикуса элайнерами. Диагностика за 2 минуты. Узнайте подойдет ли вам лечение на элайнерах.
Выбрать клинику и врача



