<div><img src="https://mc.yandex.ru/watch/49995703" style="position:absolute;left:-9999px" alt=""/></div>Скученность - Кейс 26 | Результаты лечения элайнерами Flexiligner: фото до и после

Самошкина Наталья Олеговна

Врач-ортодонт

Скученность - Кейс 26

Эффективность устранения дефекта прикуса посредством элайнеров FlexiLigner.

36

Количество кап НЧ

36

Количество кап ВЧ

Результаты лечения

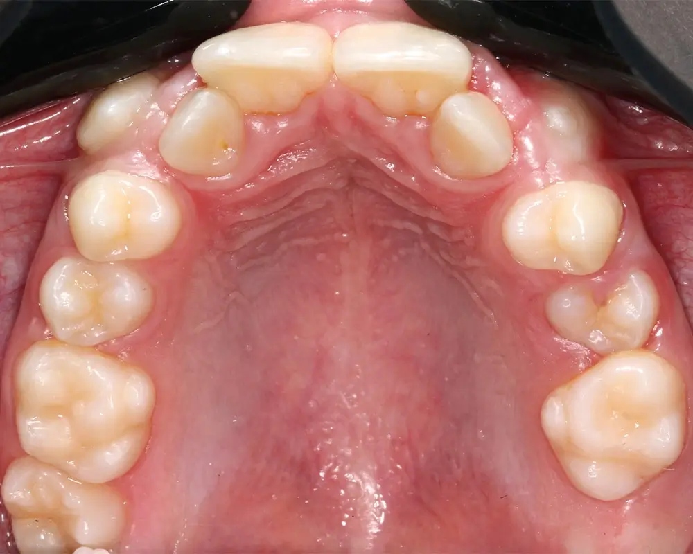
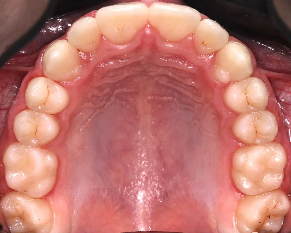
Скученность - Кейс 26 — верхняя челюсть после лечения
Скученность - Кейс 26 — верхняя челюсть до лечения
ДО
ПОСЛЕ
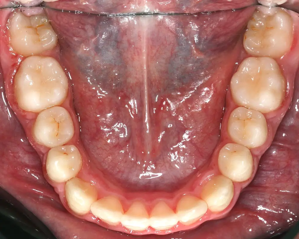
Скученность - Кейс 26 — нижняя челюсть после лечения
Скученность - Кейс 26 — нижняя челюсть до лечения
ДО
ПОСЛЕ
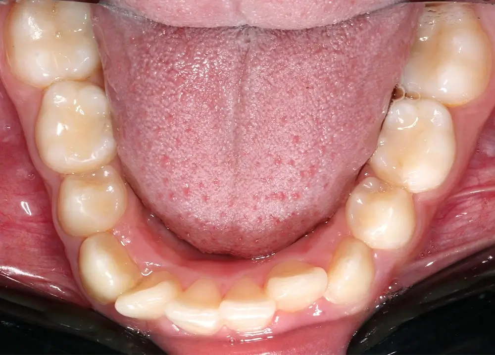
Скученность - Кейс 26 — фронтальный ракурс после лечения
Скученность - Кейс 26 — фронтальный ракурс до лечения
ДО
ПОСЛЕ
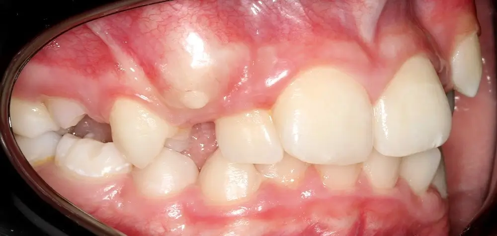
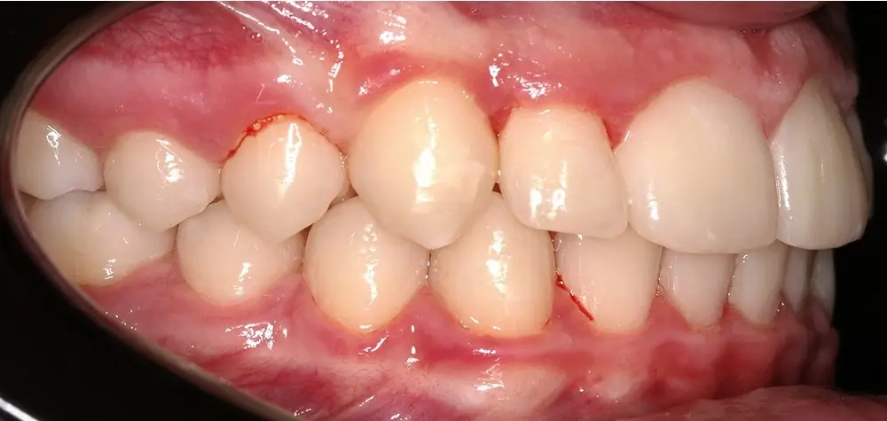
Скученность - Кейс 26 — боковой ракурс после лечения
Скученность - Кейс 26 — боковой ракурс до лечения
ДО
ПОСЛЕ