<div><img src="https://mc.yandex.ru/watch/49995703" style="position:absolute;left:-9999px" alt=""/></div>Скученность - Кейс 23 | Результаты лечения элайнерами Flexiligner: фото до и после

Иванова Екатерина Сергеевна

врач

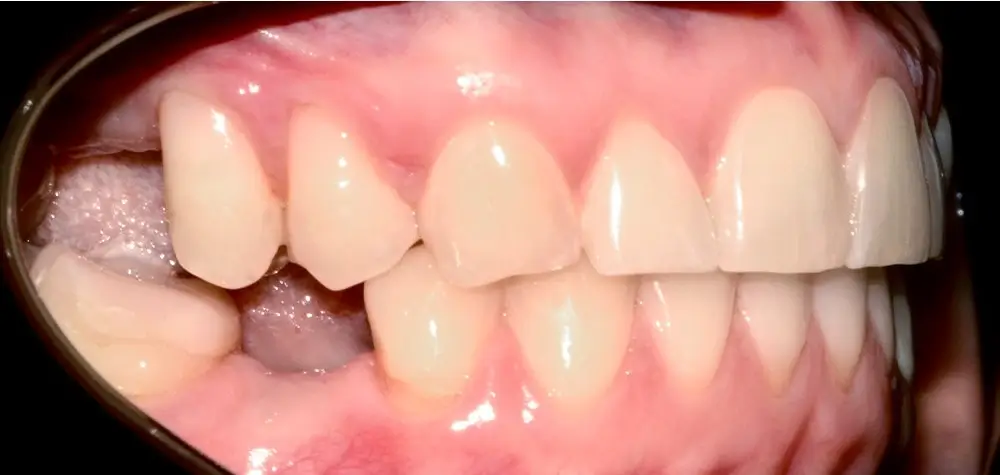
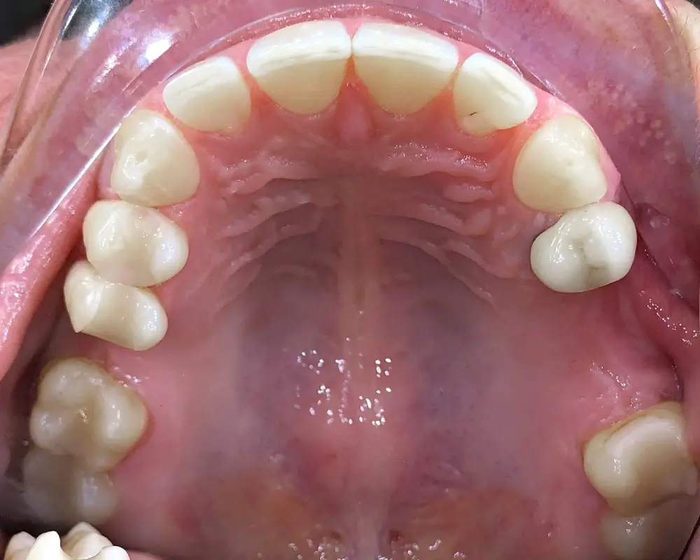
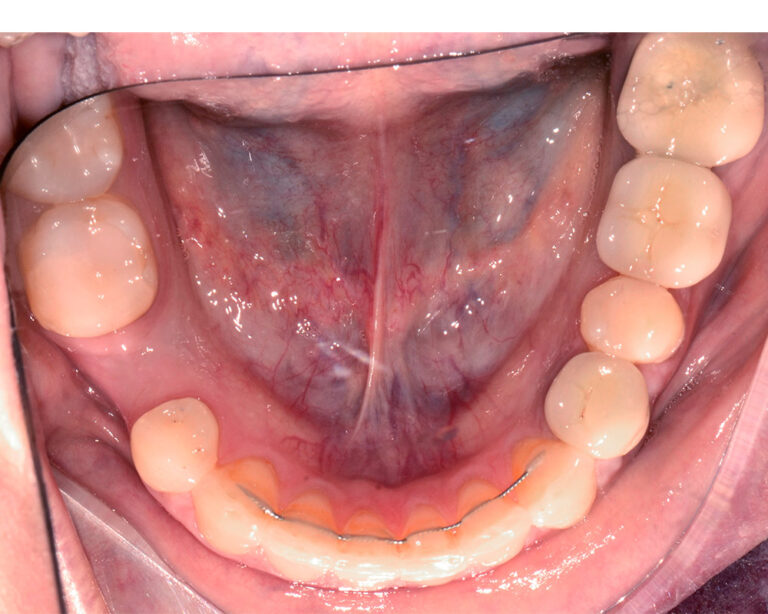
Скученность - Кейс 23

Эффективность устранения дефекта прикуса посредством элайнеров FlexiLigner.

24

Количество кап НЧ

24

Количество кап ВЧ

Результаты лечения