8 (800) 555-90-56
Я пациент
Я врач
О нас
Элайнеры
Где лечиться
Блог
Контакты
Получить консультацию
О нас
Элайнеры
Где лечиться
Блог
Контакты
Получить консультацию
Главная
Врачи
Иванова Катерина Сергеевна
Обратный звонок
Заказать обратный звонок
Записаться
Иванова Катерина Сергеевна
врач
Кавитрон
улица Академика Анохина 2, к.4
M.Smile
улица Дмитрия Ульянова 32
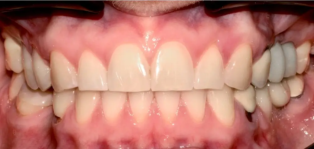
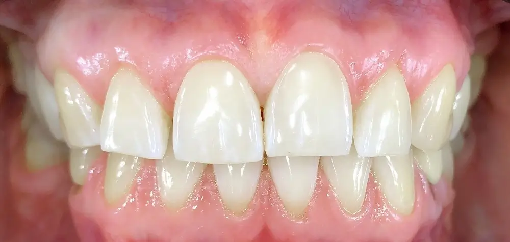
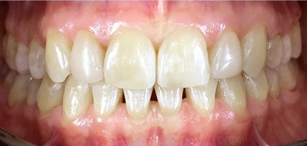
Портфолио специалиста
ДО
ПОСЛЕ
ДО
ПОСЛЕ
ДО
ПОСЛЕ
Клиники на карте
Загрузка карты...
Истории о FlexiLigner от наших пациентов
Ваш браузер не поддерживает видео.
Ваш браузер не поддерживает видео.
Наталья,
40 лет
Ваш браузер не поддерживает видео.
Ваш браузер не поддерживает видео.
Алефтина и Алёна
Ваш браузер не поддерживает видео.
Ваш браузер не поддерживает видео.
Алина,
32 года
Ваш браузер не поддерживает видео.
Ваш браузер не поддерживает видео.
Даша,
9 лет
Ваш браузер не поддерживает видео.
Ваш браузер не поддерживает видео.
Никита,
10 лет