<div><img src="https://mc.yandex.ru/watch/49995703" style="position:absolute;left:-9999px" alt=""/></div>Доктор Мхитарян Лиана Гагиковна - Врач-ортодонт | Flexiligner

Портфолио специалиста

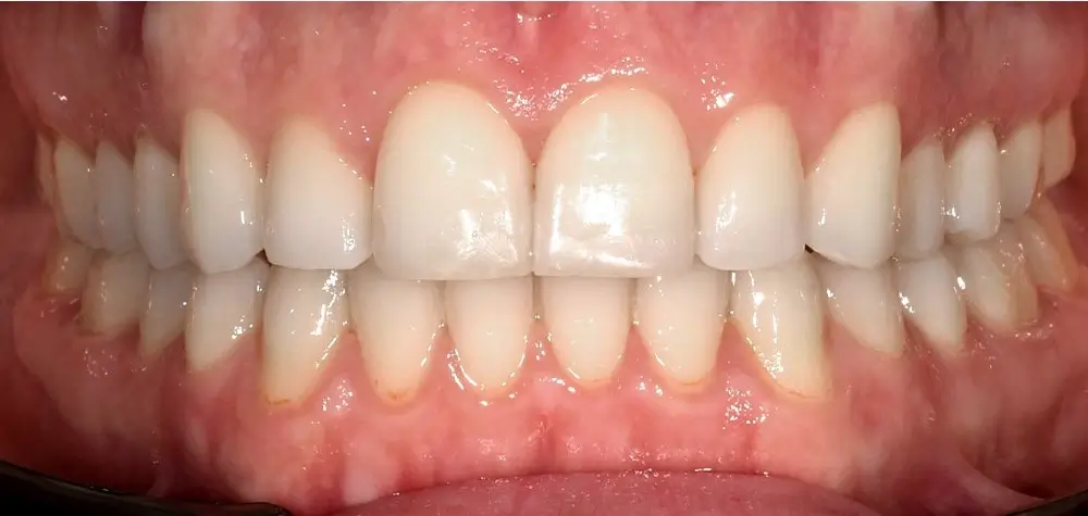
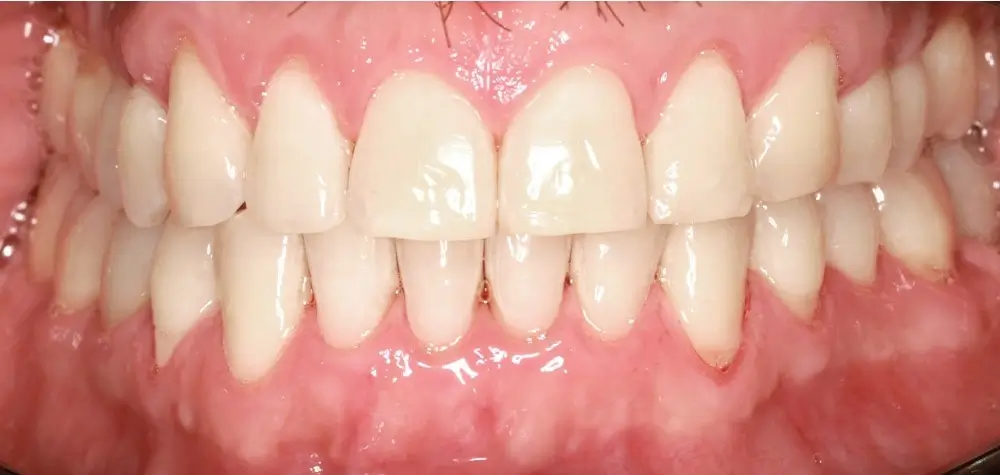
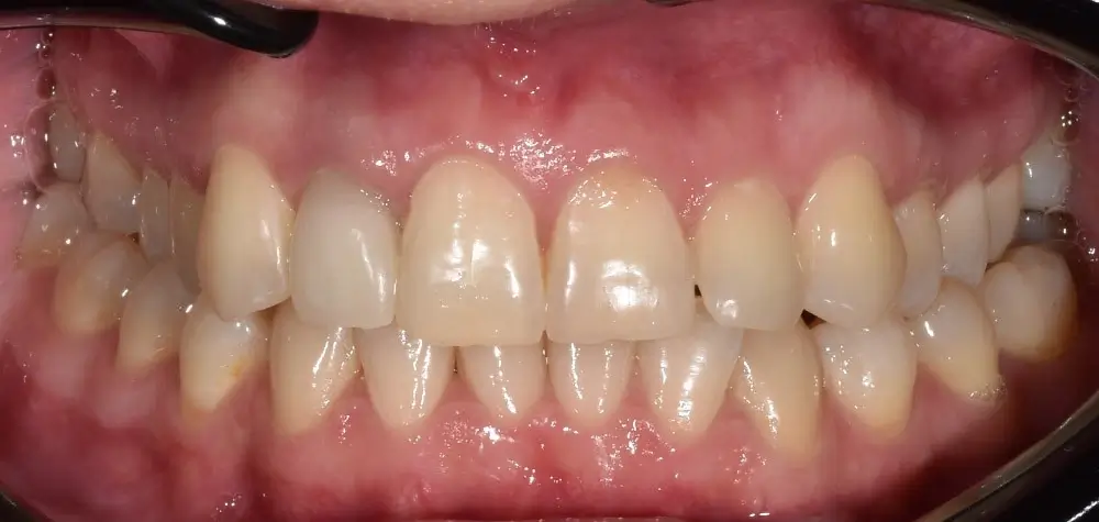
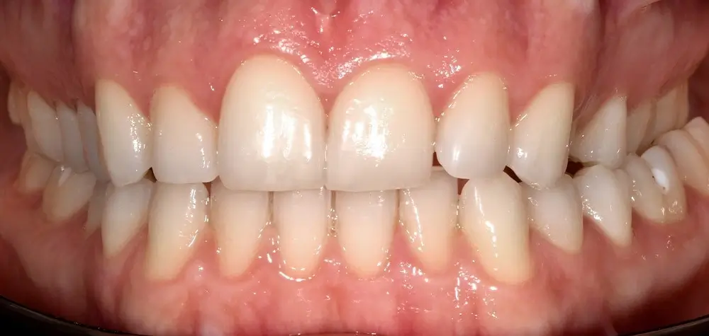
Глубокий прикус - Кейс 3 — вид спереди после лечения
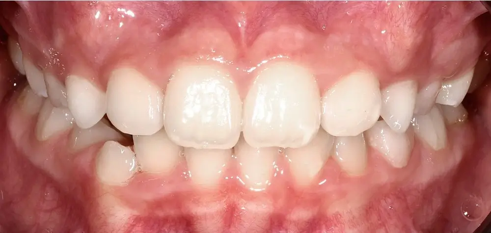
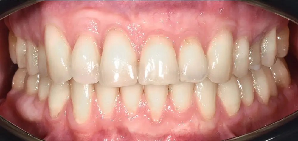
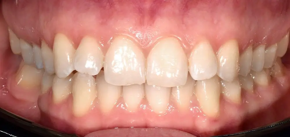
Глубокий прикус - Кейс 3 — вид спереди до лечения
ДО
ПОСЛЕ
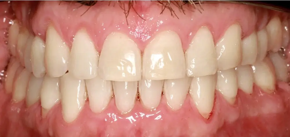
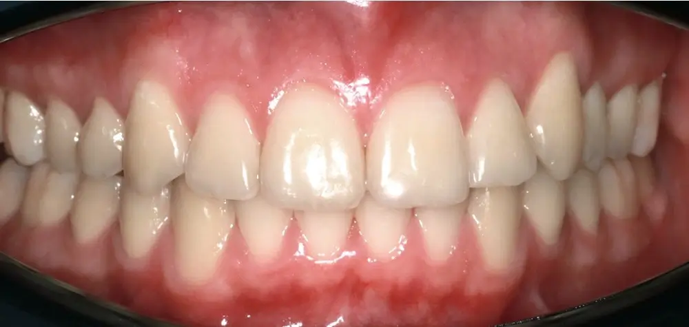
Открытый прикус - Кейс 3 — вид спереди после лечения
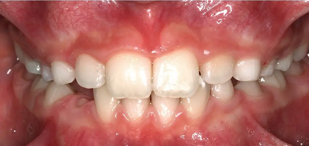
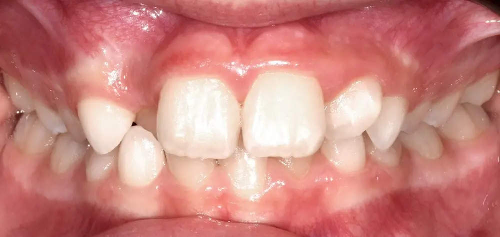
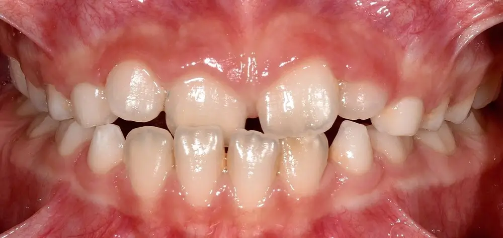
Открытый прикус - Кейс 3 — вид спереди до лечения
ДО
ПОСЛЕ
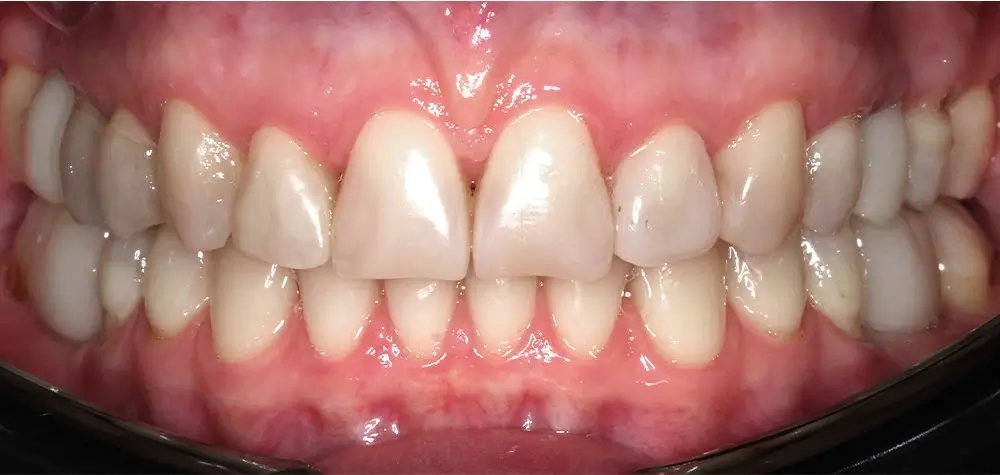
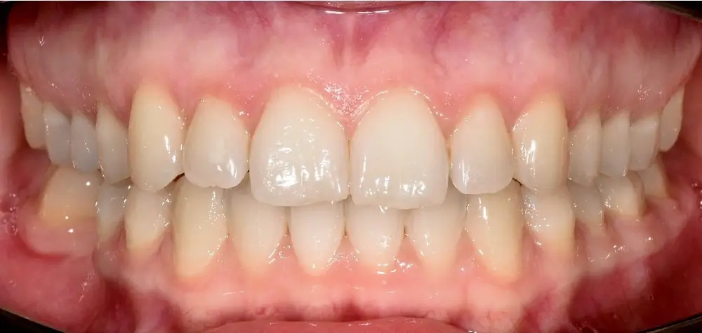
Детские кейсы - Кейс 4 — вид спереди после лечения
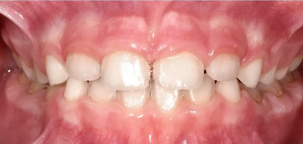
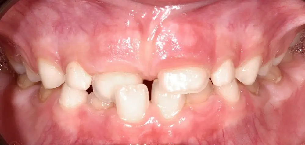
Детские кейсы - Кейс 4 — вид спереди до лечения
ДО
ПОСЛЕ
Детские кейсы - Кейс 2 — вид спереди после лечения
Детские кейсы - Кейс 2 — вид спереди до лечения
ДО
ПОСЛЕ
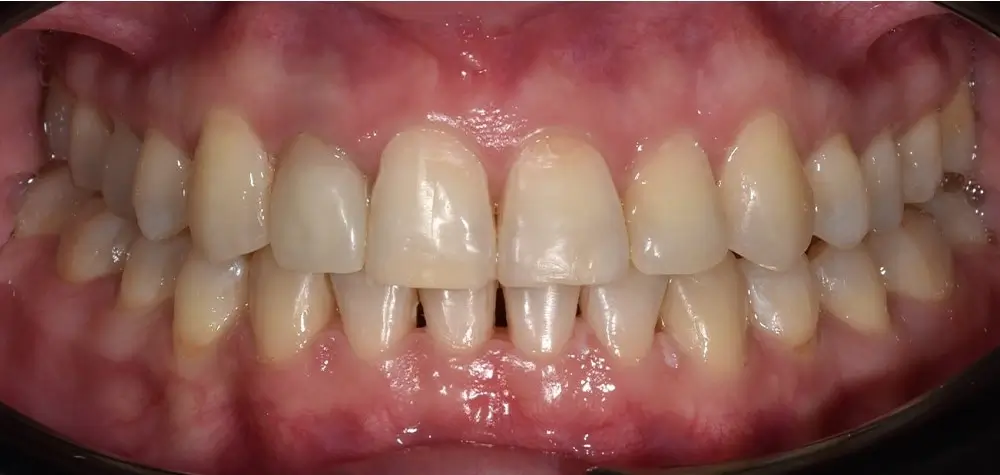
Детские кейсы - Кейс 1 — вид спереди после лечения
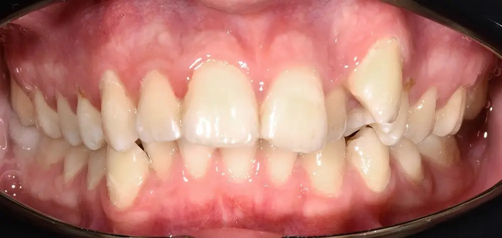
Детские кейсы - Кейс 1 — вид спереди до лечения
ДО
ПОСЛЕ
Дистальный прикус - Кейс 16 — вид спереди после лечения
Дистальный прикус - Кейс 16 — вид спереди до лечения
ДО
ПОСЛЕ
Дистальный прикус - Кейс 13 — вид спереди после лечения
Дистальный прикус - Кейс 13 — вид спереди до лечения
ДО
ПОСЛЕ
Дистальный прикус - Кейс 7 — вид спереди после лечения
Дистальный прикус - Кейс 7 — вид спереди до лечения
ДО
ПОСЛЕ
Мезиальный прикус - Кейс 8 — вид спереди после лечения
Мезиальный прикус - Кейс 8 — вид спереди до лечения
ДО
ПОСЛЕ
Мезиальный прикус - Кейс 7 — вид спереди после лечения
Мезиальный прикус - Кейс 7 — вид спереди до лечения
ДО
ПОСЛЕ
Перекрестный прикус - Кейс 13 — вид спереди после лечения
Перекрестный прикус - Кейс 13 — вид спереди до лечения
ДО
ПОСЛЕ
Перекрестный прикус - Кейс 12 — вид спереди после лечения
Перекрестный прикус - Кейс 12 — вид спереди до лечения
ДО
ПОСЛЕ
Перекрестный прикус - Кейс 3 — вид спереди после лечения
Перекрестный прикус - Кейс 3 — вид спереди до лечения
ДО
ПОСЛЕ
Скученность - К�ейс 14 — вид спереди после лечения
Скученность - Кейс 14 — вид спереди до лечения
ДО
ПОСЛЕ
Скученность - Кейс 6 — вид спереди после лечения
Скученность - Кейс 6 — вид спереди до лечения
ДО
ПОСЛЕ

Клиники на карте

Загрузка карты...

Истории о FlexiLigner от наших пациентов

Алина

Алина, 32 года

Даша

Даша, 9 лет

Никита

Никита, 10 лет

Елена

Елена

Алина

Алина

Запись на первичный прием к  Лиане Гагиковне

Phone
Мхитарян Лиана Гагиковна

Другие ортодонты