8 (800) 555-60-78
Я пациент
Я врач
О нас
Элайнеры
Где лечиться
Блог
Контакты
Записаться
О нас
Элайнеры
Где лечиться
Блог
Контакты
Записаться
Главная
Врачи
Иванова-Васильева Екатерина Леонидовна
Обратный звонок
Заказать обратный звонок
Записаться
Иванова-Васильева Екатерина Леонидовна
клинический консультант, врач ортодонт
Адрес: Морская набережная 25к1
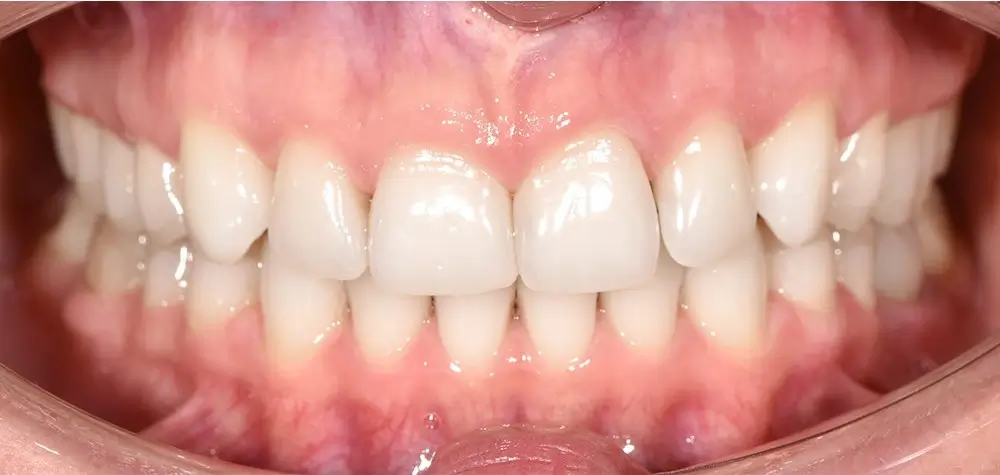
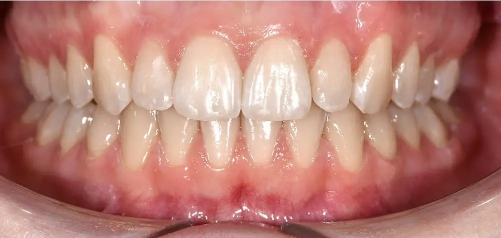
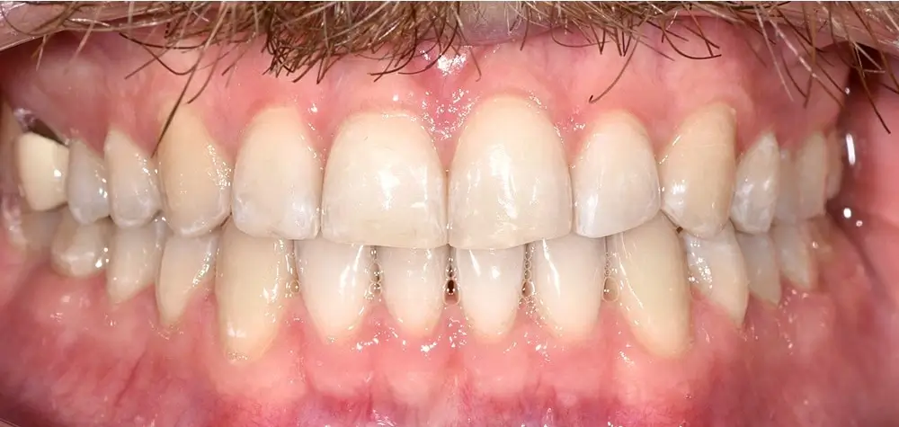
Портфолио специалиста
ДО
ПОСЛЕ
ДО
ПОСЛЕ
ДО
ПОСЛЕ
Клиники на карте
Загрузка карты...
Истории о FlexiLigner от наших пациентов
Ваш браузер не поддерживает видео.
Ваш браузер не поддерживает видео.
Алина,
32 года
Ваш браузер не поддерживает видео.
Ваш браузер не поддерживает видео.
Даша,
9 лет
Ваш браузер не поддерживает видео.
Ваш браузер не поддерживает видео.
Никита,
10 лет
Ваш браузер не поддерживает видео.
Ваш браузер не поддерживает видео.
Елена
Ваш браузер не поддерживает видео.
Ваш браузер не поддерживает видео.
Алина
Запись на первичный прием к Екатерине Леонидовне
Имя
*
Телефон
*
Phone
Я даю согласие на обработку моих
персональных данных
Записаться
Другие ортодонты