О компании
О компании
О нас
Технологии
Разработки
Отзывы
Врачам
Врачам
Элайнеры в клинической практике
Продукция для ортодонтов
Расписание мероприятий
Учебный центр Flexiligner
Детская ортодонтия
ПРИМЕРЫ КЕЙСОВ
Войти в личный кабинет
Пациентам
Пациентам
Зачем нужны элайнеры?
Установка элайнеров
Выравнивание зубов элайнерами
Выбрать клинику и доктора
Советы пациентам
Вопрос — ответ
Детская ортодонтия
До и После
Мероприятия
Расписание мероприятий
Учебный центр Flexiligner
Завершенные мероприятия
Отчеты о мероприятиях
Блог
Блог
Отзывы врачей
Полезно знать
Технологии
Наши контакты
Личный кабинет
Звонки по России бесплатные
8 (800) 700-60-78
для врачей
8 (800) 555-90-56
для пациентов
Заказать обратный звонок
Удобный инструмент
для врачей
Apple
Android
Whatsapp
Telegram
Vk
Главная
»
До и после
»
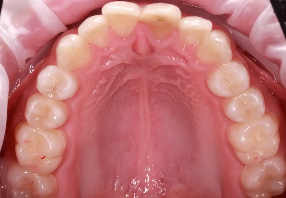
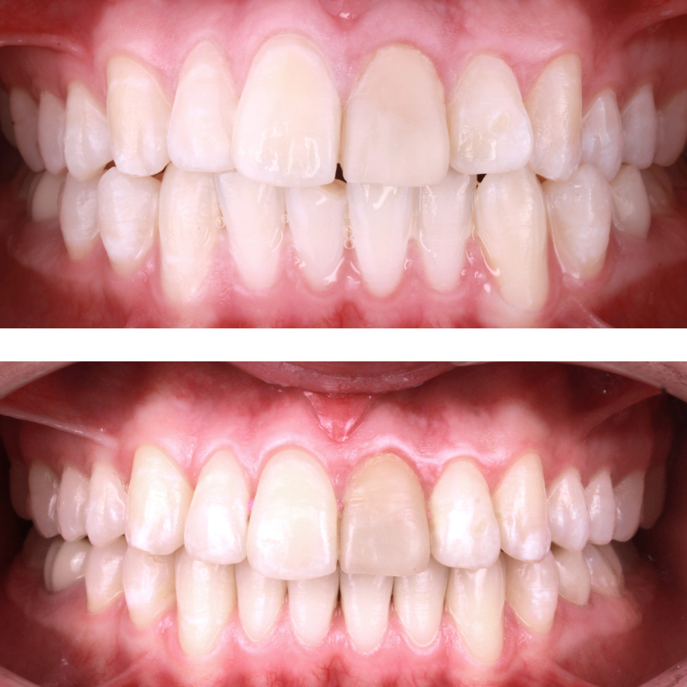
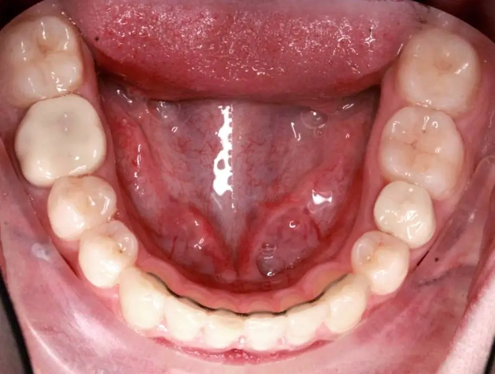
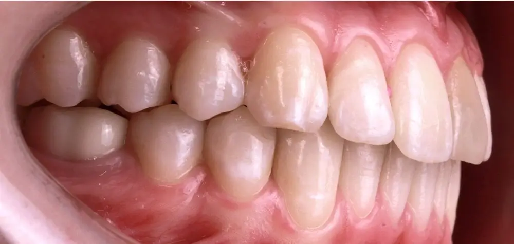
Кейс 9
Кейс 9
Бирковская Екатерина Александровна
Количество кап ВЧ 23
Количество кап НЧ 23
Посмотреть OrthoCheck
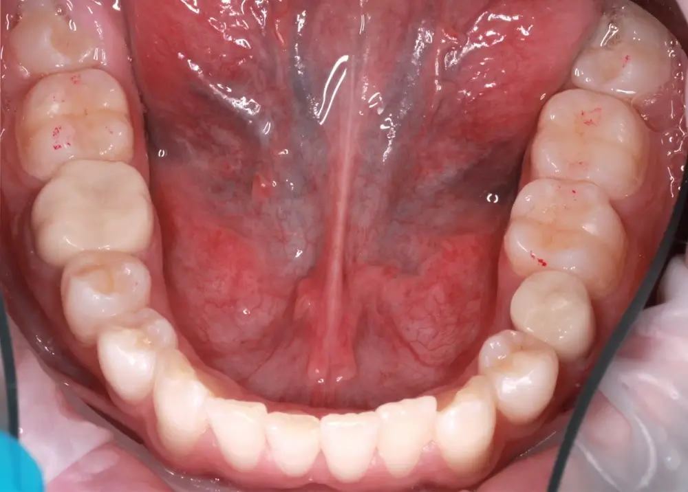
ДО
ПОСЛЕ
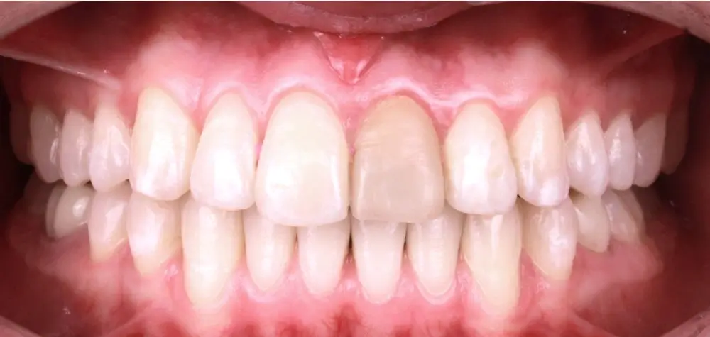
ДО
ПОСЛЕ
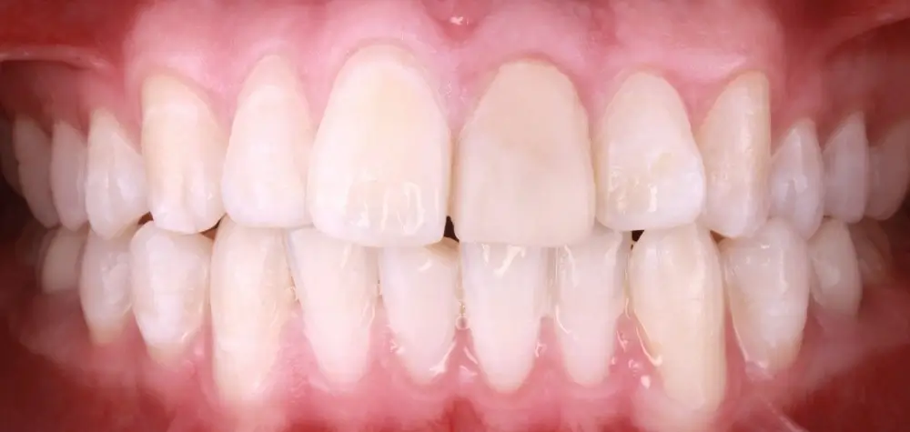
ДО
ПОСЛЕ
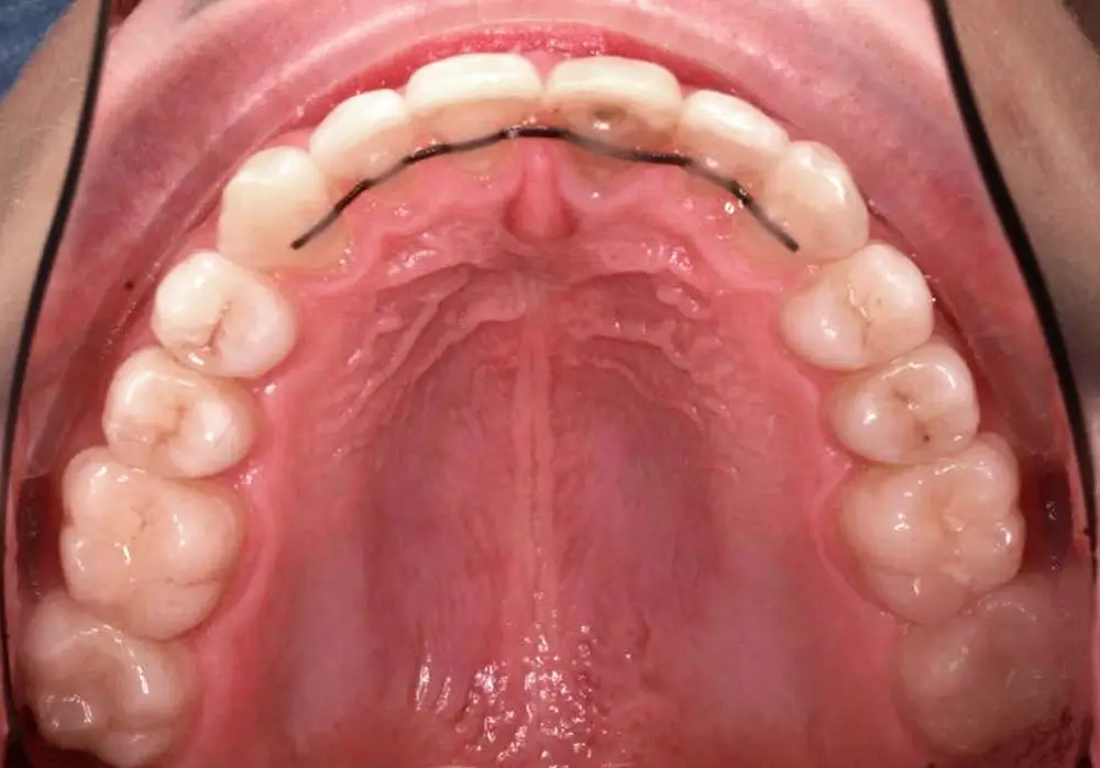
ДО
ПОСЛЕ
ДО
ПОСЛЕ
Пред
Предыдущий
Кейс 8
Следующий
Кейс 10
Следующая