<div><img src="https://mc.yandex.ru/watch/49995703" style="position:absolute;left:-9999px" alt=""/></div>Скученность - Кейс 25 | Результаты лечения элайнерами Flexiligner: фото до и после

Булгач Галина Игоревна

врач-ортодонт

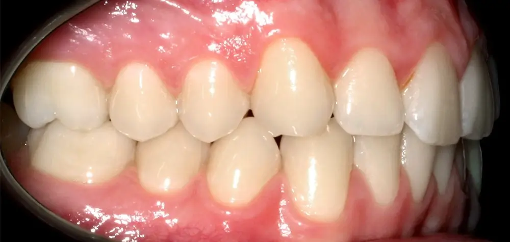
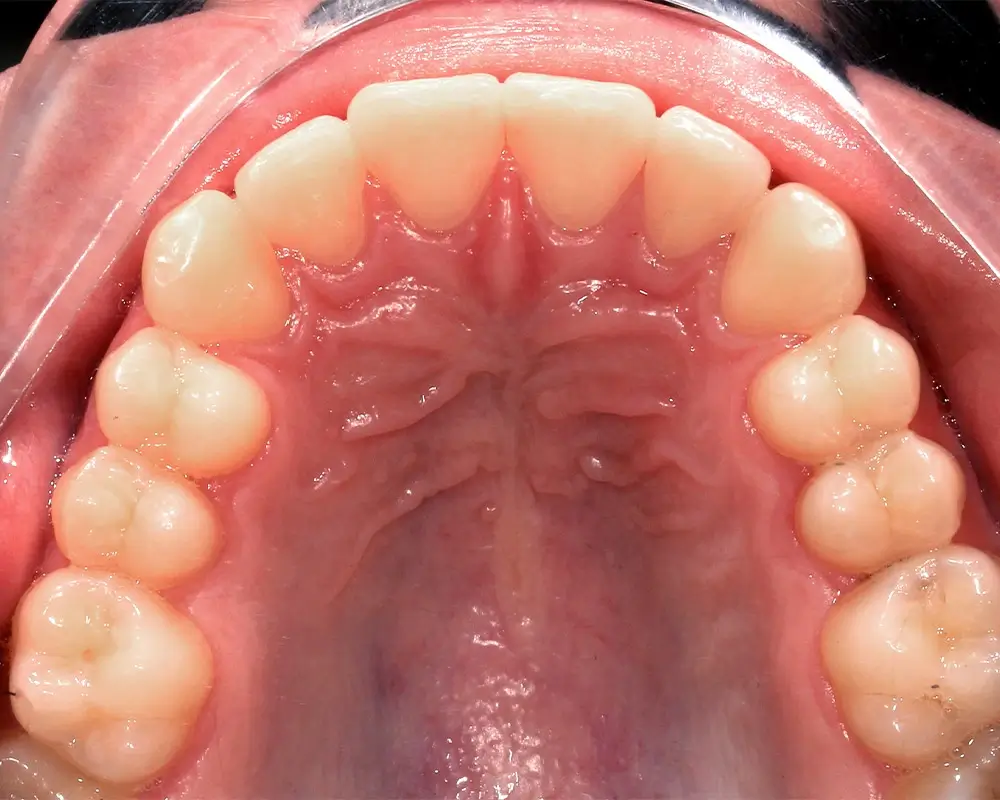
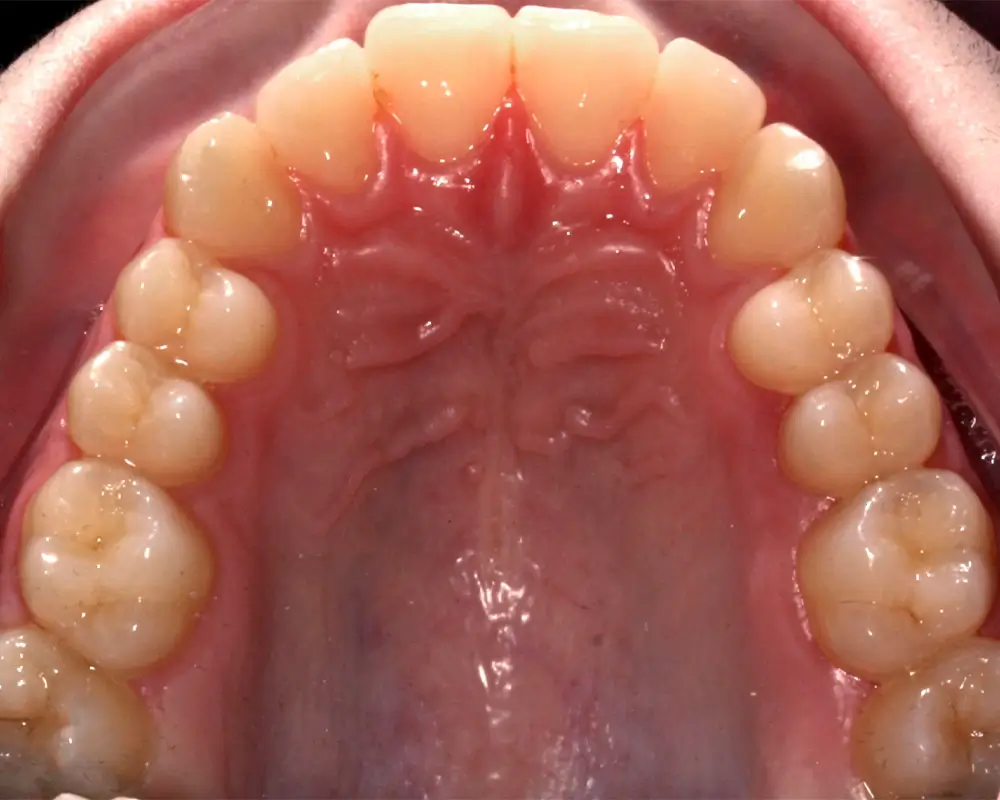
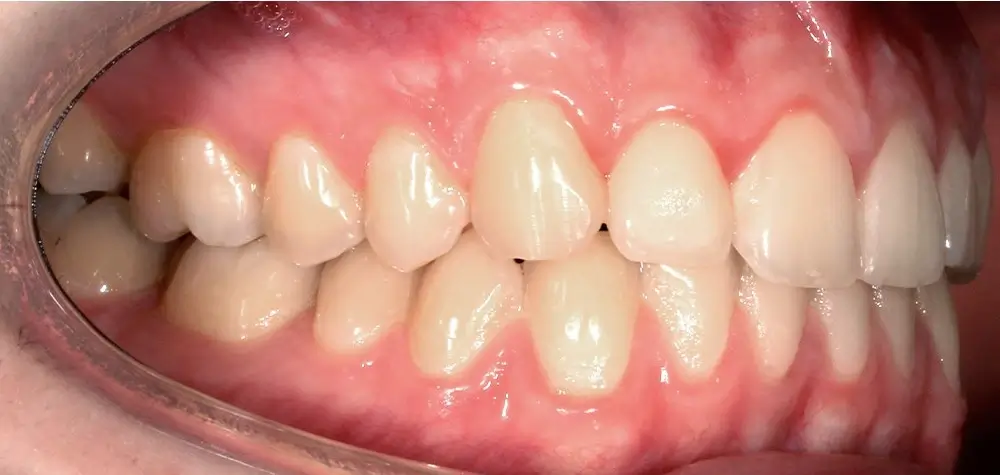
Скученность - Кейс 25

Эффективность устранения дефекта прикуса посредством элайнеров FlexiLigner.

16

Количество кап НЧ

16

Количество кап ВЧ

Результаты лечения