<div><img src="https://mc.yandex.ru/watch/49995703" style="position:absolute;left:-9999px" alt=""/></div>Скученность - Кейс 22 | Результаты лечения элайнерами Flexiligner: фото до и после

Габдуллин Артур Газинурович

Врач-ортодонт

Скученность - Кейс 22

Эффективность устранения дефекта прикуса посредством элайнеров FlexiLigner.

42

Количество кап НЧ

25

Количество кап ВЧ

12 месяцев

Срок лечения

Результаты лечения

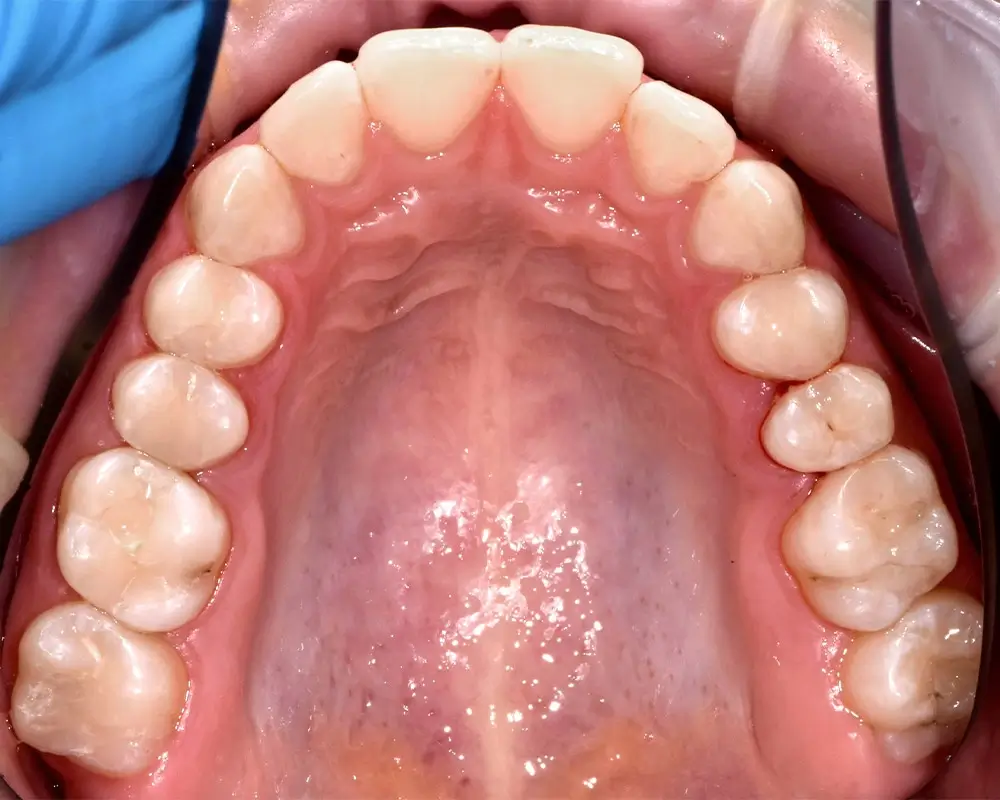
Скученность - Кейс 22 — верхняя челюсть после лечения
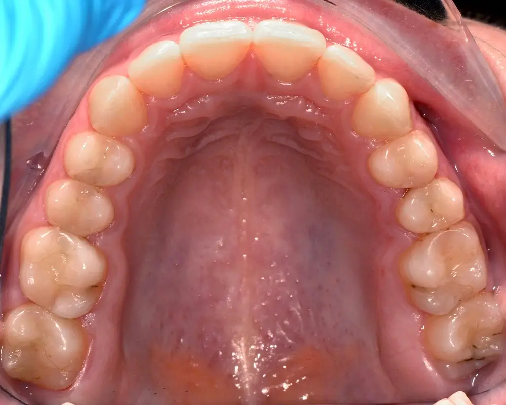
Скученность - Кейс 22 — верхняя челюсть до лечения
ДО
ПОСЛЕ
Скученность - Кейс 22 — нижняя челюсть после лечения
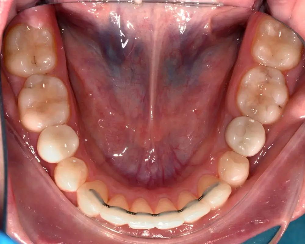
Скученность - Кейс 22 — нижняя челюсть до лечения
ДО
ПОСЛЕ
Скученность - Кейс 22 — фронтальный ракурс после лечения
Скученность - Кейс 22 — фронтальный ракурс до лечения
ДО
ПОСЛЕ
Скученность - Кейс 22 — боковой ракурс после лечения
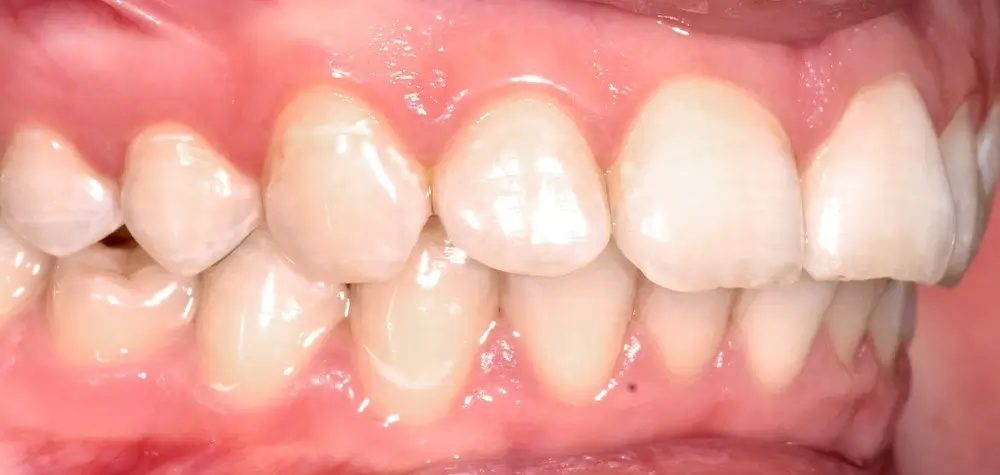
Скученность - Кейс 22 — боковой ракурс до лечения
ДО
ПОСЛЕ