<div><img src="https://mc.yandex.ru/watch/49995703" style="position:absolute;left:-9999px" alt=""/></div>Скученность - Кейс 15 | Результаты лечения элайнерами Flexiligner: фото до и после

Булгач Галина Игоревна

Врач-ортодонт

Скученность - Кейс 15

Эффективность устранения дефекта прикуса посредством элайнеров FlexiLigner.

16

Количество кап НЧ

16

Количество кап ВЧ

Результаты лечения

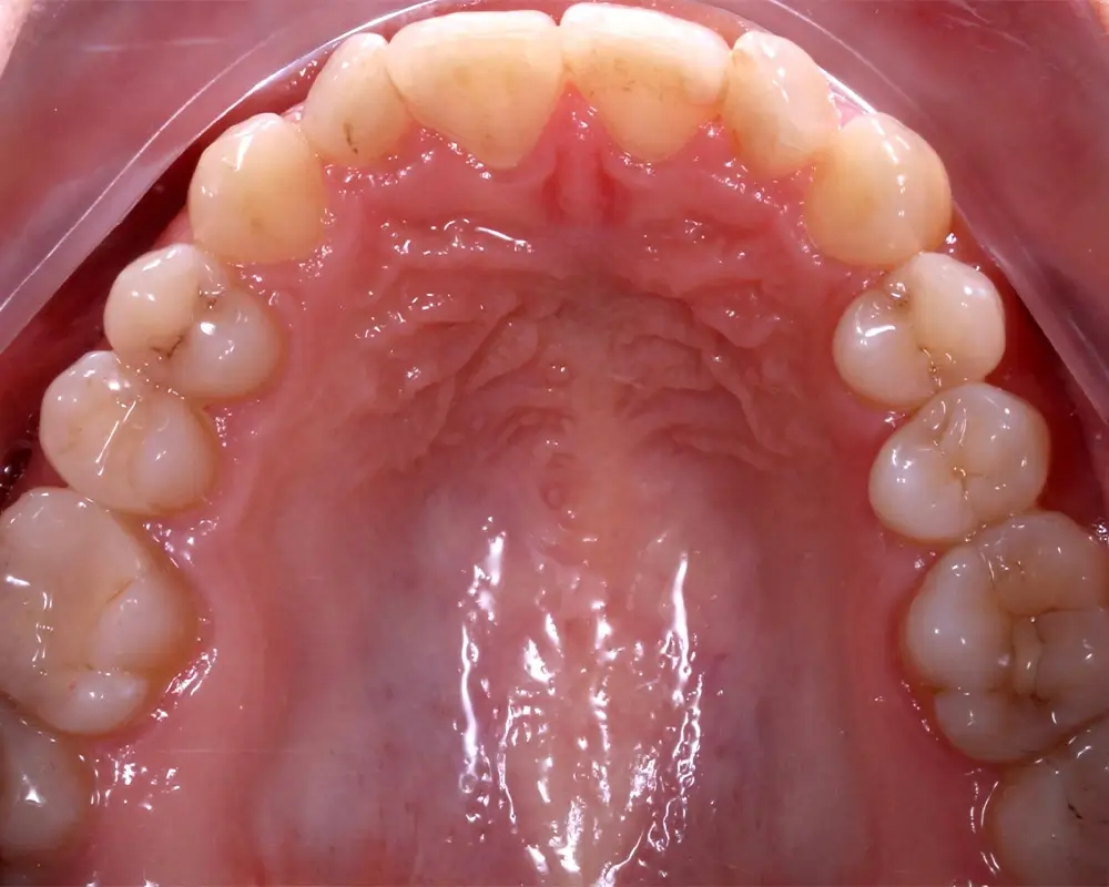
Скученность - Кейс 15 — верхняя челюсть после лечения
Скученность - Кейс 15 — верхняя челюсть до лечения
ДО
ПОСЛЕ
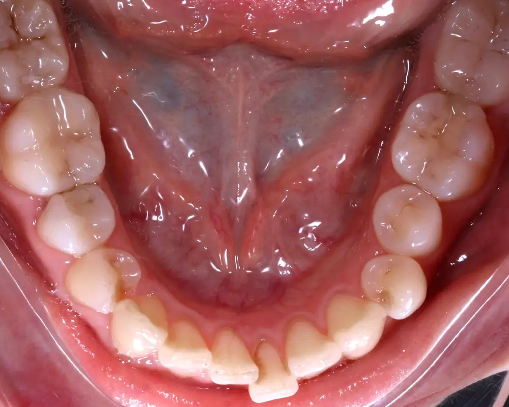
Скученность - Кейс 15 — нижняя челюсть после лечения
Скученность - Кейс 15 — нижняя челюсть до лечения
ДО
ПОСЛЕ
Скученность - Кейс 15 — фронтальный ракурс после лечения
Скученность - Кейс 15 — фронтальный ракурс до лечения
ДО
ПОСЛЕ
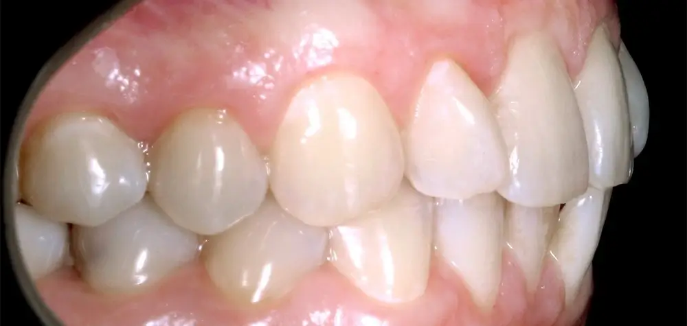
Скученность - Кейс 15 — боковой ракурс после лечения
Скученность - Кейс 15 — боковой ракурс до лечения
ДО
ПОСЛЕ