<div><img src="https://mc.yandex.ru/watch/49995703" style="position:absolute;left:-9999px" alt=""/></div>Скученность - Кейс 12 | Результаты лечения элайнерами Flexiligner: фото до и после

Бирковская Екатерина Александровна

Врач-ортодонт

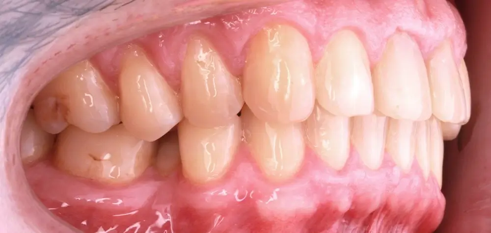
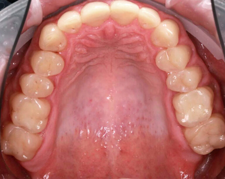
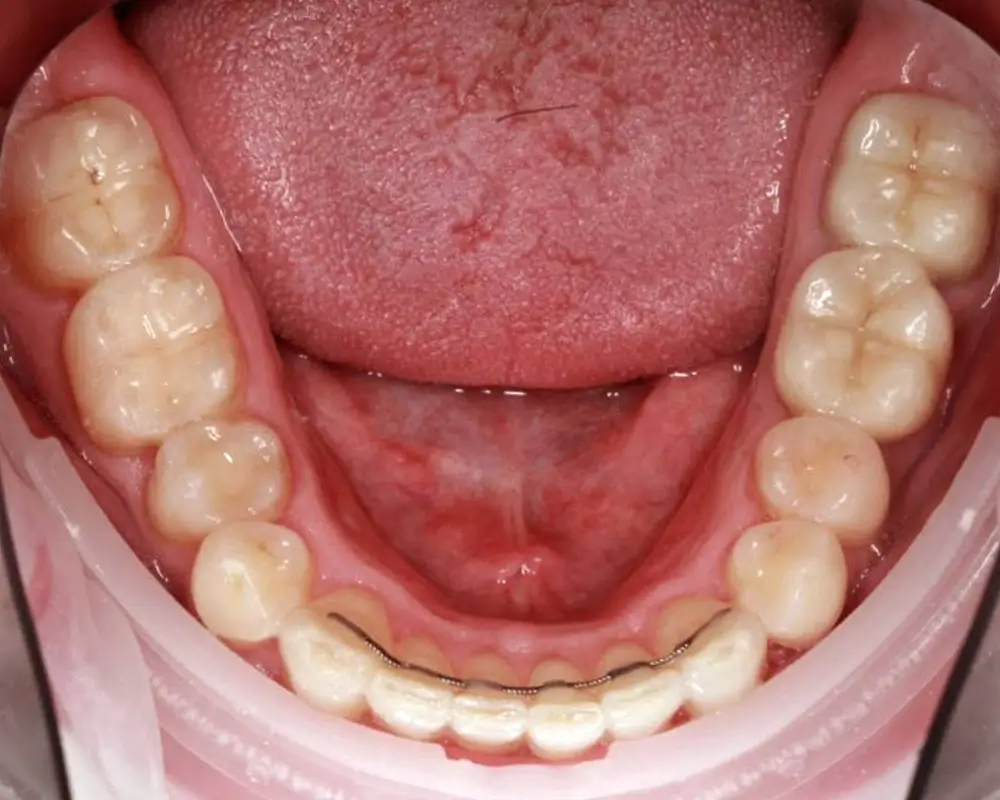
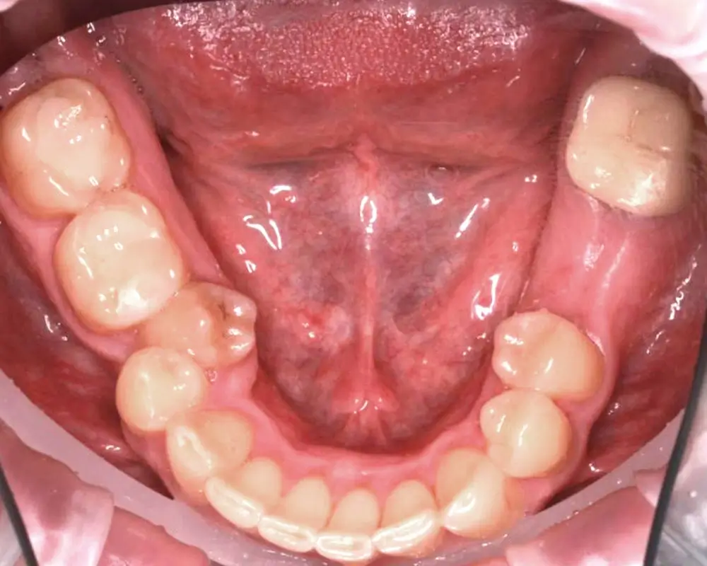
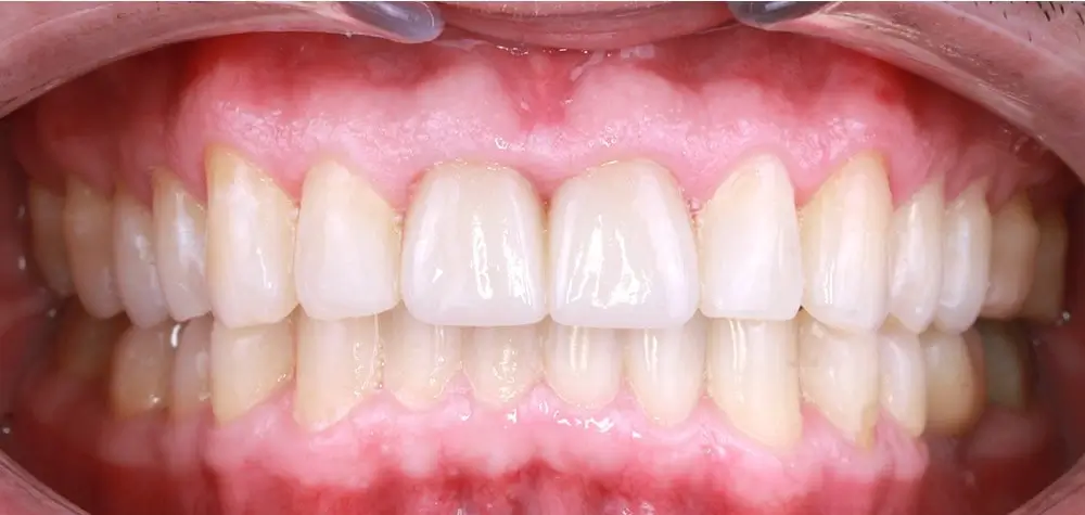
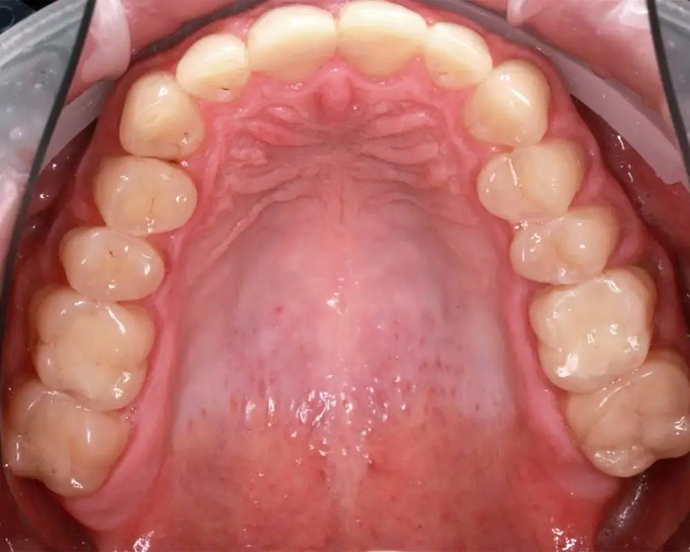
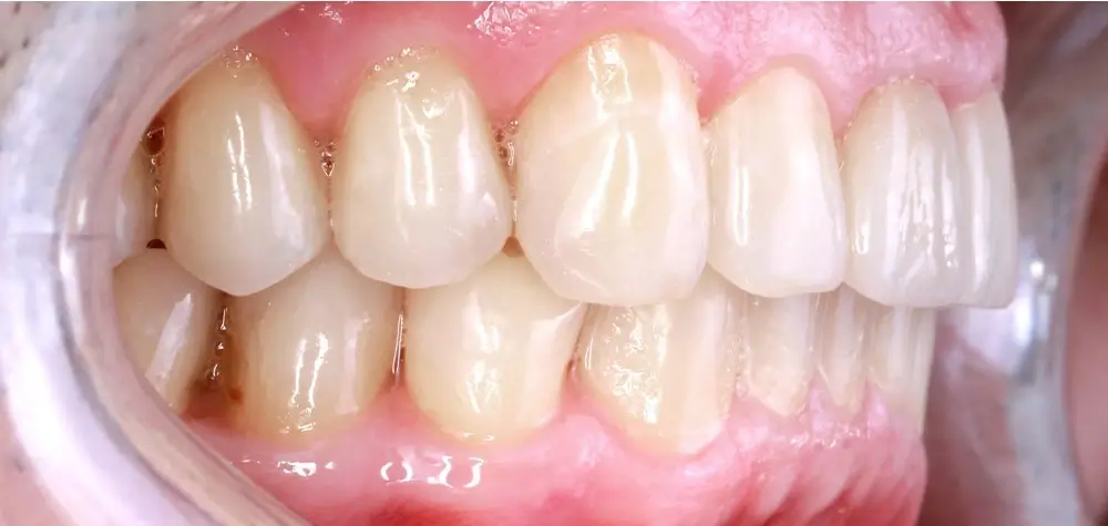
Скученность - Кейс 12

Эффективность устранения дефекта прикуса посредством элайнеров FlexiLigner.

41

Количество кап НЧ

24

Количество кап ВЧ

Результаты лечения