<div><img src="https://mc.yandex.ru/watch/49995703" style="position:absolute;left:-9999px" alt=""/></div>Перекрестный прикус - Кейс 2 | Результаты лечения элайнерами Flexiligner: фото до и после
Габдуллин Артур Газинурович

Габдуллин Артур Газинурович

ортодонт

Перекрестный прикус - Кейс 2

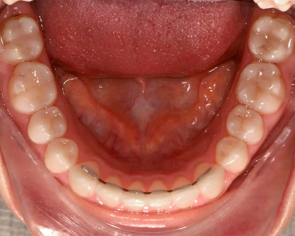
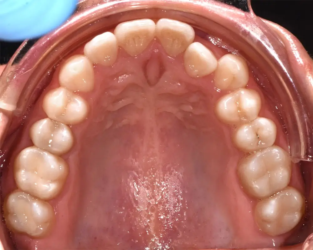
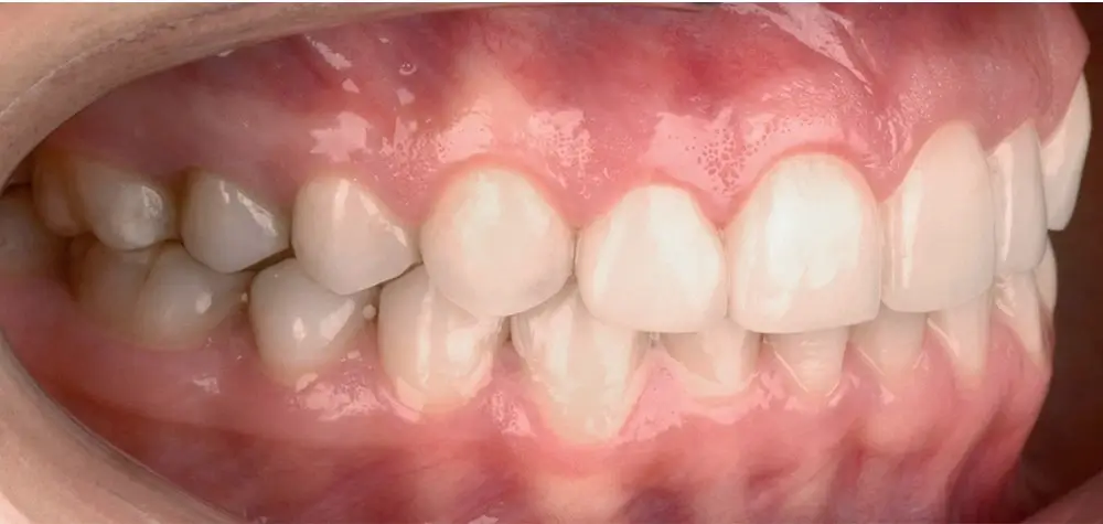
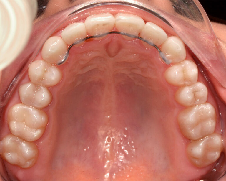
Эффективность устранения дефекта прикуса посредством элайнеров FlexiLigner.

12

Количество кап НЧ

16

Количество кап ВЧ

Результаты лечения