<div><img src="https://mc.yandex.ru/watch/49995703" style="position:absolute;left:-9999px" alt=""/></div>Перекрестный прикус - Кейс 14 | Результаты лечения элайнерами Flexiligner: фото до и после

Самошкина Наталья Олеговна

ортодонт

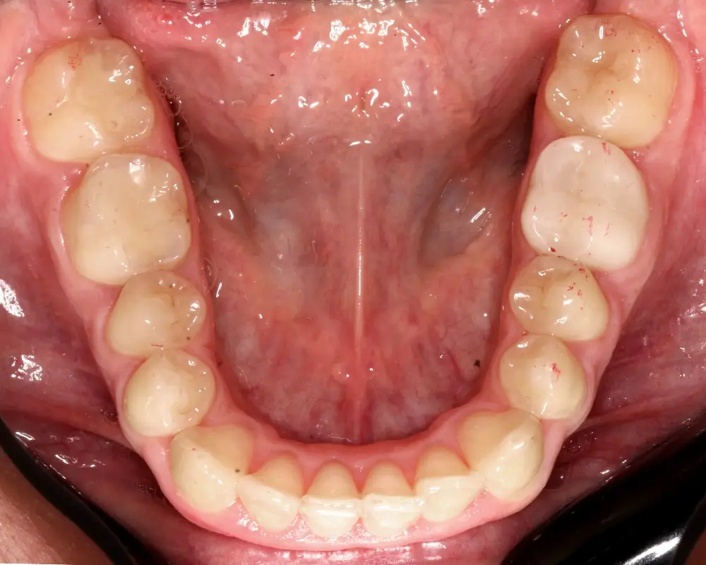
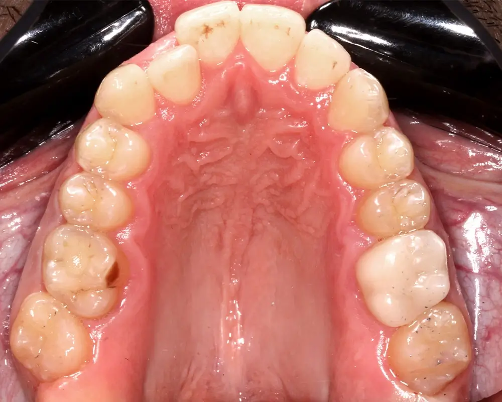
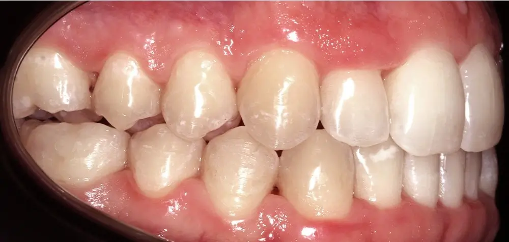
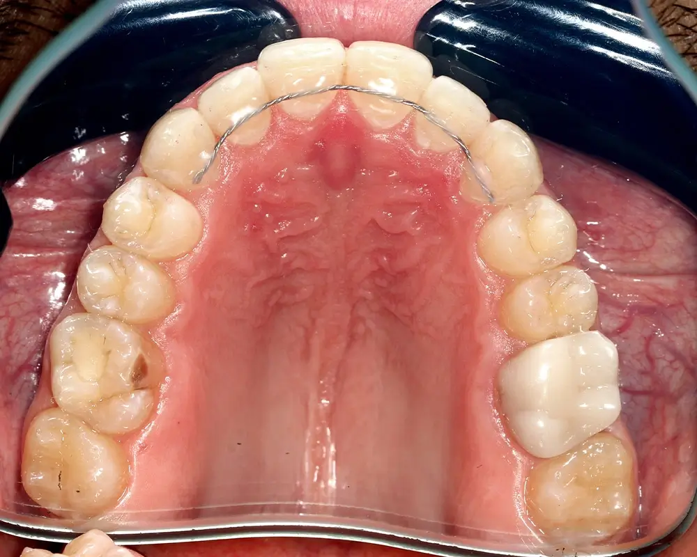
Перекрестный прикус - Кейс 14

Эффективность устранения дефекта прикуса посредством элайнеров FlexiLigner.

13

Количество кап НЧ

20

Количество кап ВЧ

Результаты лечения