<div><img src="https://mc.yandex.ru/watch/49995703" style="position:absolute;left:-9999px" alt=""/></div>Перекрестный прикус - Кейс 13 | Результаты лечения элайнерами Flexiligner: фото до и после

Мхитарян Лиана Гагиковна

Врач-ортодонт

Перекрестный прикус - Кейс 13

Эффективность устранения дефекта прикуса посредством элайнеров FlexiLigner.

20

Количество кап НЧ

35

Количество кап ВЧ

12 месяцев

Срок лечения

Результаты лечения

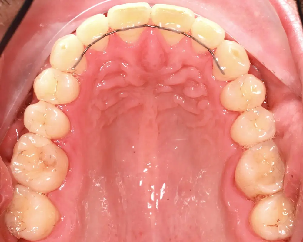
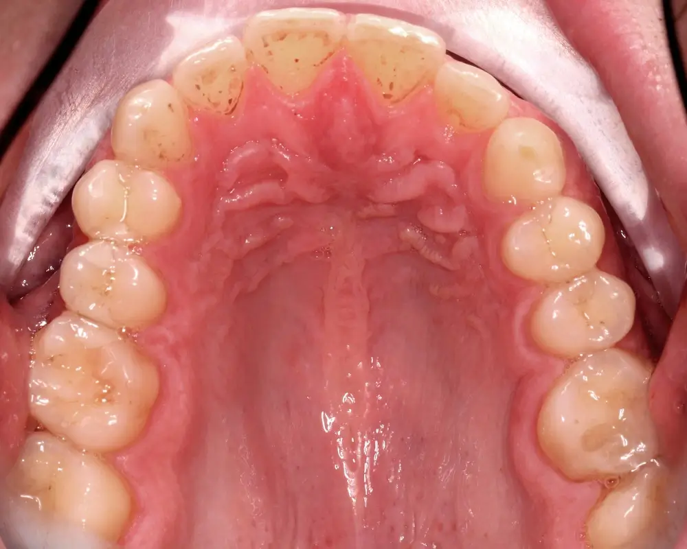
Перекрестный прикус - Кейс 13 — верхняя челюсть после лечения
Перекрестный прикус - Кейс 13 — верхняя челюсть до лечения
ДО
ПОСЛЕ
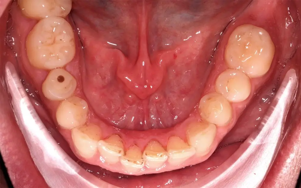
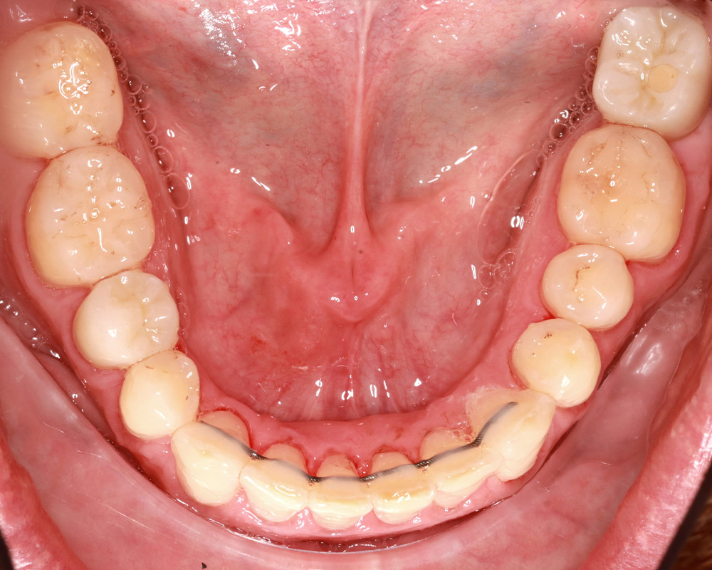
Перекрестный прикус - Кейс 13 — нижняя челюсть после лечения
Перекрестный прикус - Кейс 13 — нижняя челюсть до лечения
ДО
ПОСЛЕ
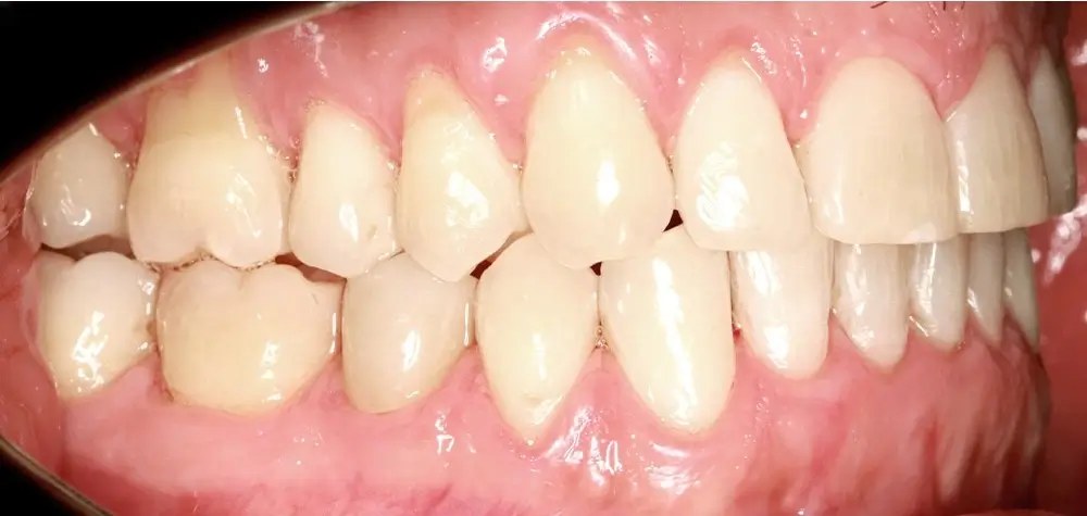
Перекрестный прикус - Кейс 13 — фронтальный ракурс после лечения
Перекрестный прикус - Кейс 13 — фронтальный ракурс до лечения
ДО
ПОСЛЕ
Перекрестный прикус - Кейс 13 — боковой ракурс после лечения
Перекрестный прикус - Кейс 13 — боковой ракурс до лечения
ДО
ПОСЛЕ