<div><img src="https://mc.yandex.ru/watch/49995703" style="position:absolute;left:-9999px" alt=""/></div>Перекрестный прикус - Кейс 1 | Результаты лечения элайнерами Flexiligner: фото до и после

Бажанова Ольга Валерьевна

Врач-ортодонт

Перекрестный прикус - Кейс 1

Эффективность устранения дефекта прикуса посредством элайнеров FlexiLigner.

37

Количество кап НЧ

21

Количество кап ВЧ

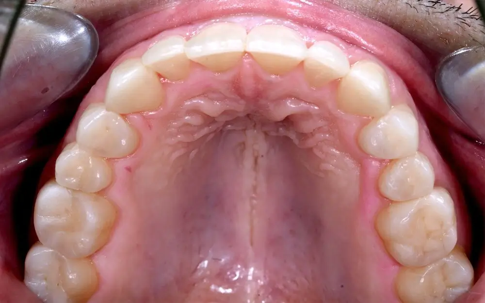
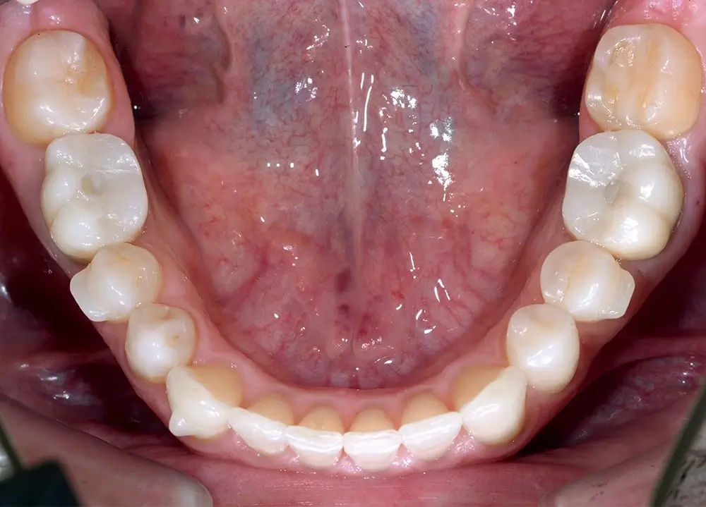
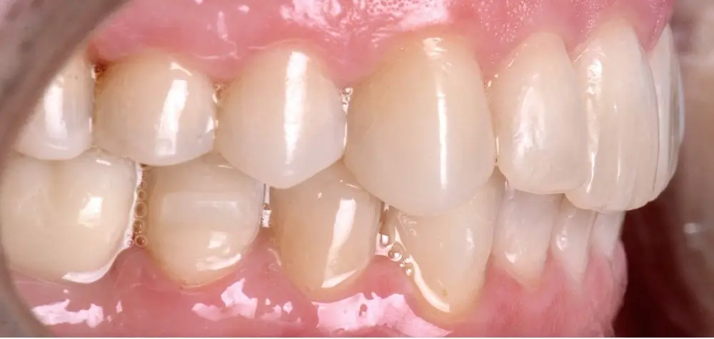
Результаты лечения

Перекрестный прикус - Кейс 1 — верхняя челюсть после лечения
Перекрестный прикус - Кейс 1 — верхняя челюсть до лечения
ДО
ПОСЛЕ
Перекрестный прикус - Кейс 1 — нижняя челюсть после лечения
Перекрестный прикус - Кейс 1 — нижняя челюсть до лечения
ДО
ПОСЛЕ
Перекрестный прикус - Кейс 1 — фронтальный ракурс после лечения
Перекрестный прикус - Кейс 1 — фронтальный ракурс до лечения
ДО
ПОСЛЕ
Перекрестный прикус - Кейс 1 — боковой ракурс после лечения
Перекре�стный прикус - Кейс 1 — боковой ракурс до лечения
ДО
ПОСЛЕ