<div><img src="https://mc.yandex.ru/watch/49995703" style="position:absolute;left:-9999px" alt=""/></div>Открытый прикус - Кейс 6 | Результаты лечения элайнерами Flexiligner: фото до и после

Юрченко Павел Николаевич

ортодонт

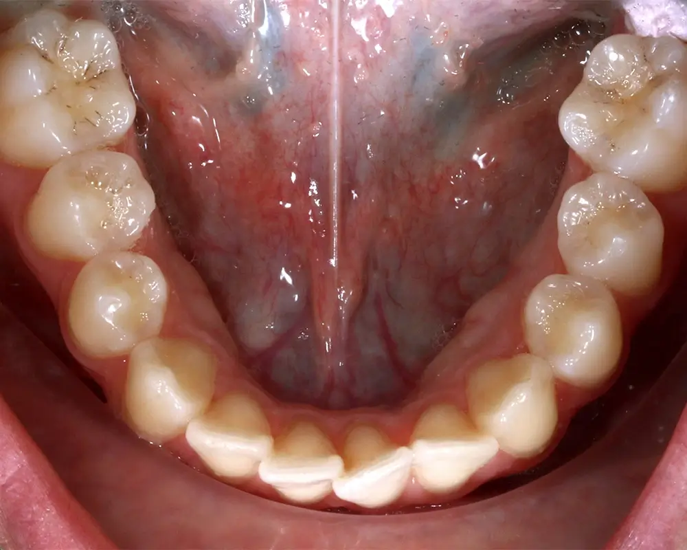
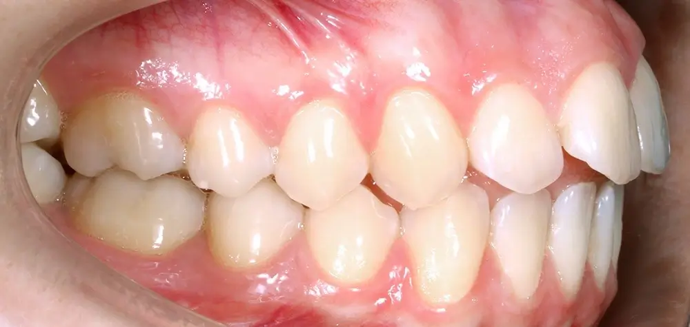
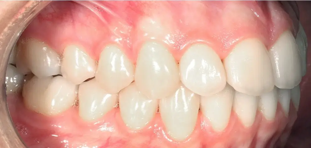
Открытый прикус - Кейс 6

Эффективность устранения дефекта прикуса посредством элайнеров FlexiLigner.

30

Количество кап НЧ

30

Количество кап ВЧ

Результаты лечения