<div><img src="https://mc.yandex.ru/watch/49995703" style="position:absolute;left:-9999px" alt=""/></div>Открытый прикус - Кейс 5 | Результаты лечения элайнерами Flexiligner: фото до и после

Бирковская Екатерина Александровна

Врач-ортодонт

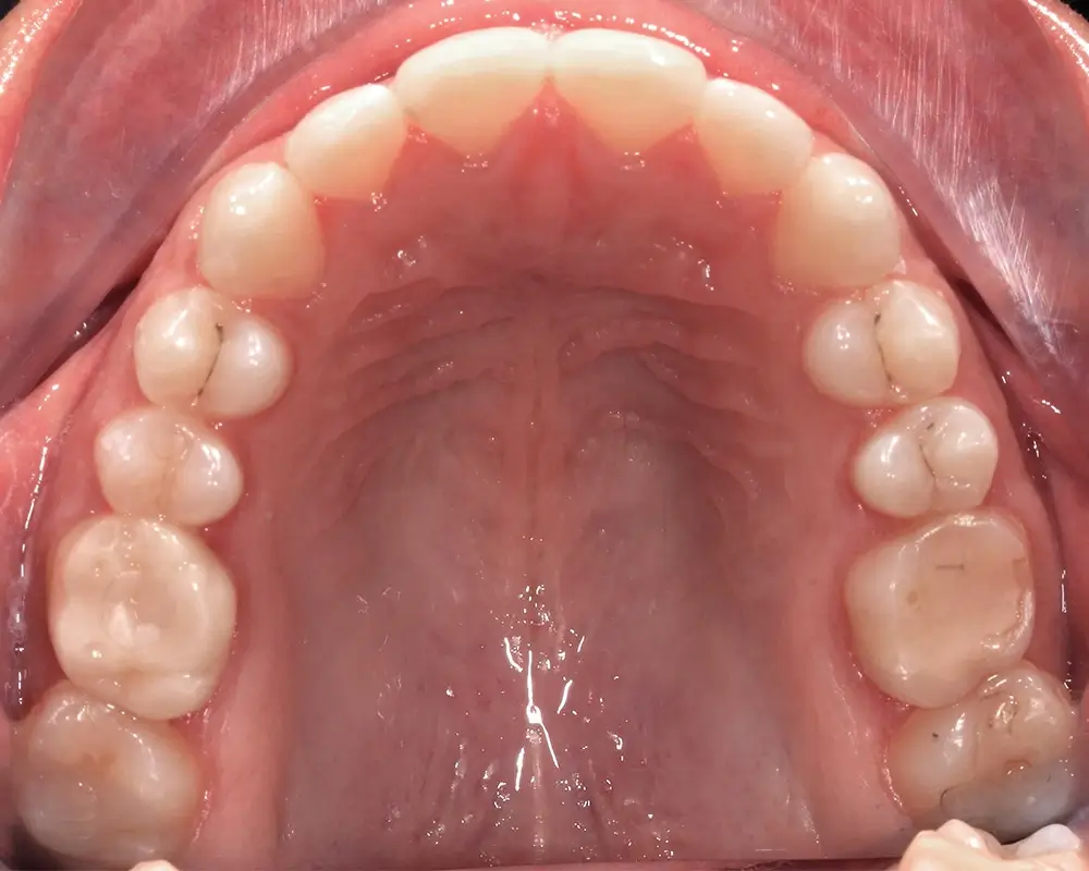
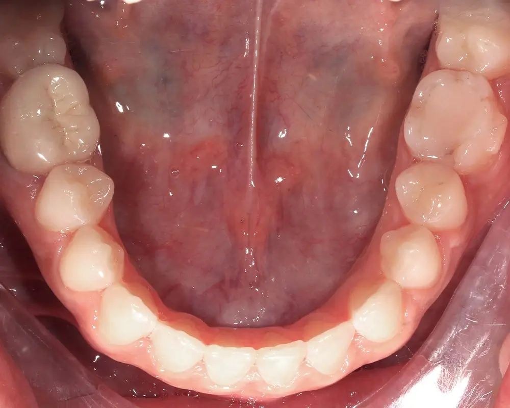
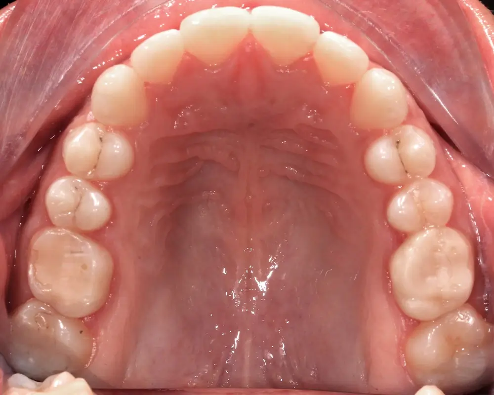
Открытый прикус - Кейс 5

Эффективность устранения дефекта прикуса посредством элайнеров FlexiLigner.

20

Количество кап НЧ

16

Количество кап ВЧ

Результаты лечения