<div><img src="https://mc.yandex.ru/watch/49995703" style="position:absolute;left:-9999px" alt=""/></div>Открытый прикус - Кейс 3 | Результаты лечения элайнерами Flexiligner: фото до и после

Мхитарян Лиана Гагиковна

Ортодонт

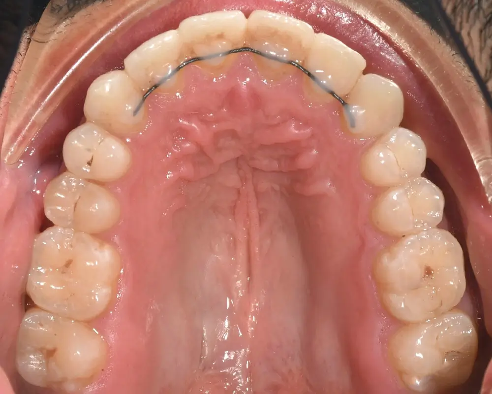
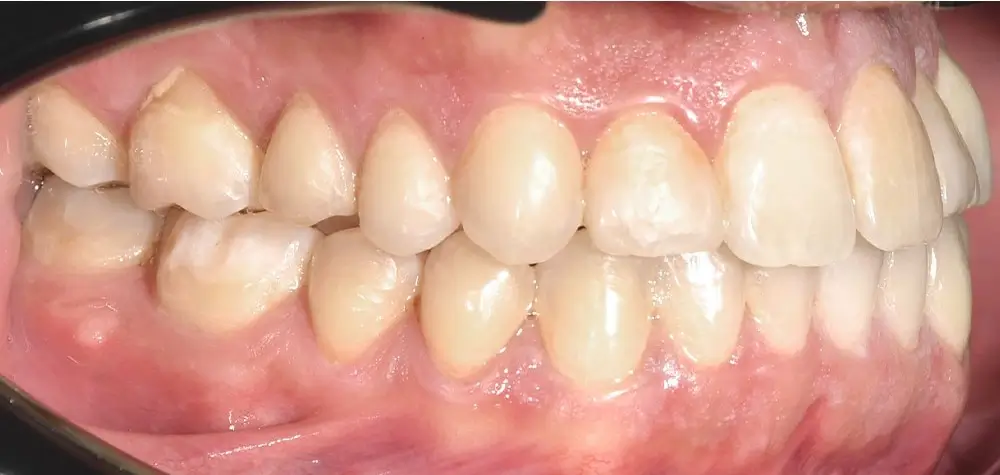
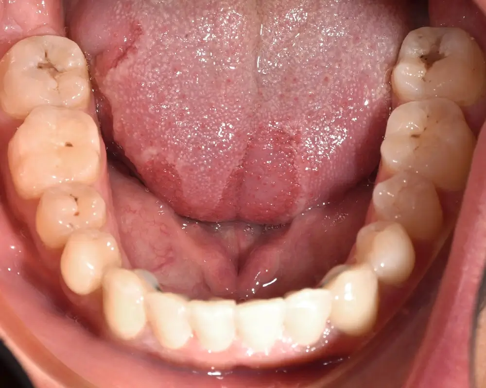
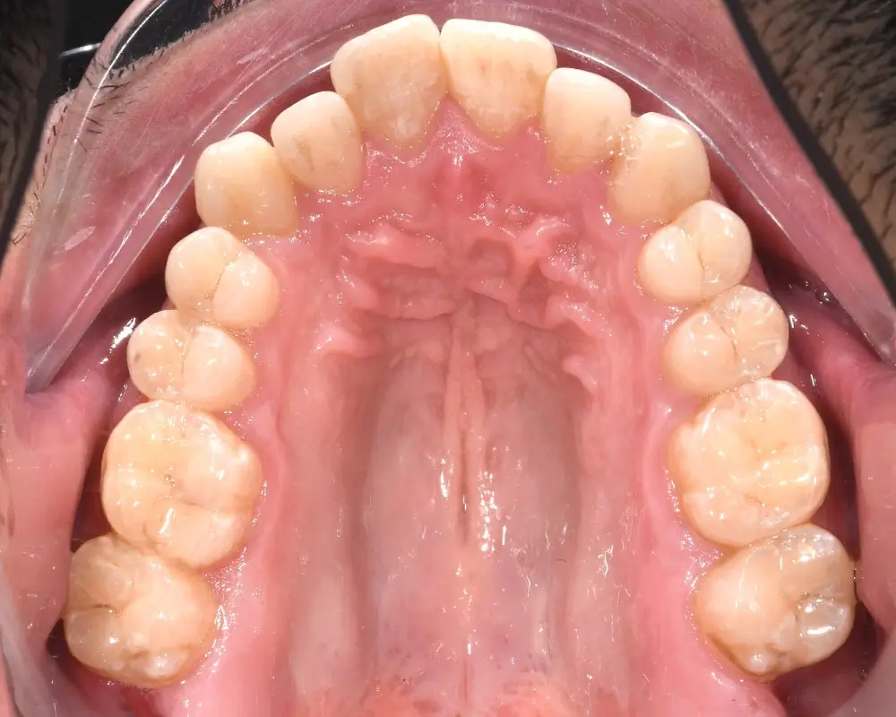
Открытый прикус - Кейс 3

Эффективность устранения дефекта прикуса посредством элайнеров FlexiLigner.

28

Количество кап НЧ

20

Количество кап ВЧ

Результаты лечения