<div><img src="https://mc.yandex.ru/watch/49995703" style="position:absolute;left:-9999px" alt=""/></div>Открытый прикус - Кейс 2 | Результаты лечения элайнерами Flexiligner: фото до и после

Булгач Галина Игоревна

врач-ортодонт

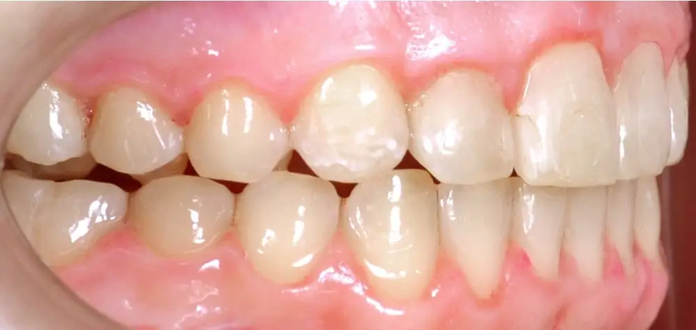
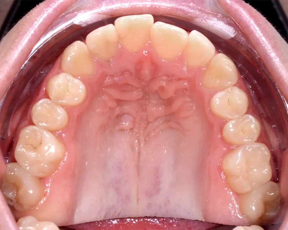
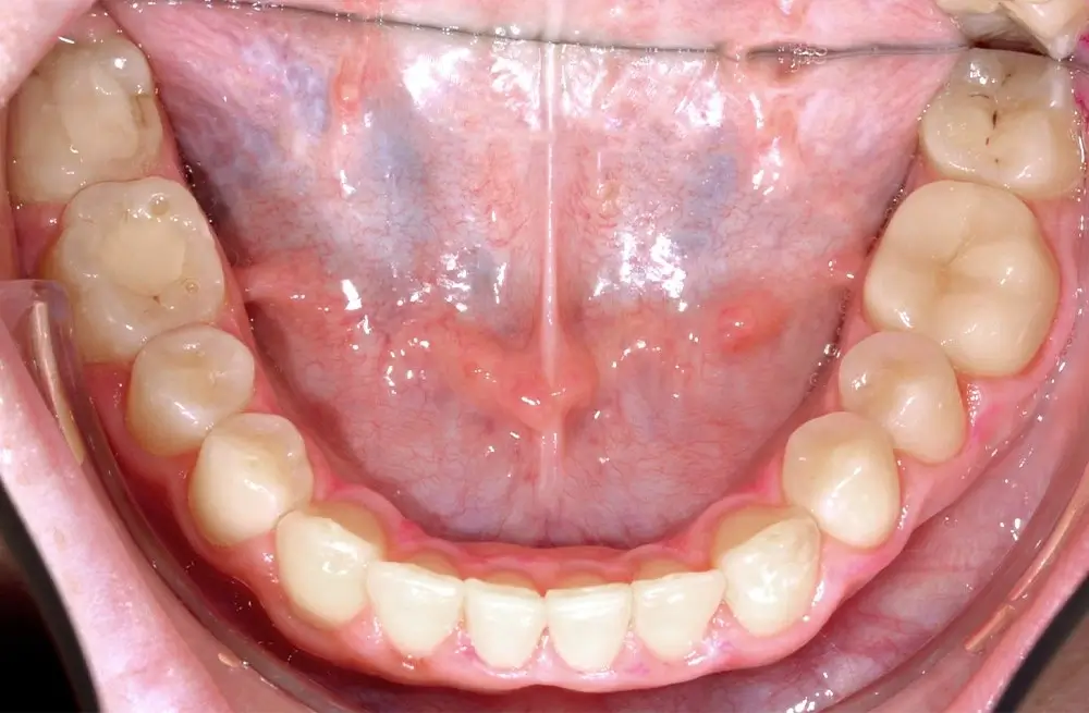
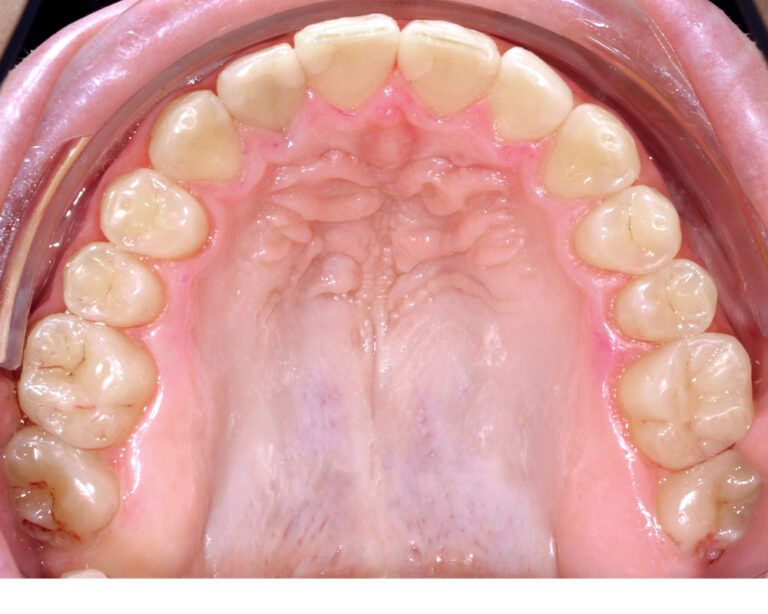
Открытый прикус - Кейс 2

Эффективность устранения дефекта прикуса посредством элайнеров FlexiLigner.

22

Количество кап НЧ

22

Количество кап ВЧ

Результаты лечения