<div><img src="https://mc.yandex.ru/watch/49995703" style="position:absolute;left:-9999px" alt=""/></div>Открытый прикус - Кейс 1 | Результаты лечения элайнерами Flexiligner: фото до и после

Бажанова Ольга Валерьевна

Врач-ортодонт

Открытый прикус - Кейс 1

Эффективность устранения дефекта прикуса посредством элайнеров FlexiLigner.

25

Количество кап НЧ

20

Количество кап ВЧ

Результаты лечения

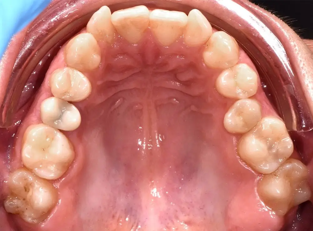
Открытый прикус - Кейс 1 — верхняя челюсть после лечения
Открытый прикус - Кейс 1 — верхняя челюсть до лечения
ДО
ПОСЛЕ
�Открытый прикус - Кейс 1 — нижняя челюсть после лечения
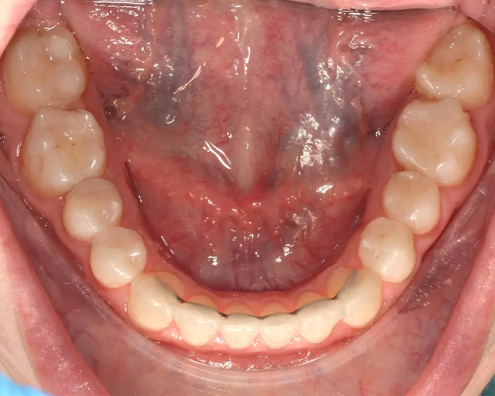
Открытый прикус - Кейс 1 — нижняя челюсть до лечения
ДО
ПОСЛЕ
Открытый прикус - Кейс 1 — фронтальный ракурс после лечения
Открытый прикус - Кейс 1 — фронтальный ракурс до лечения
ДО
ПОСЛЕ
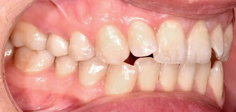
Открытый прикус - Кейс 1 — боковой ракурс после лечения
Открытый прикус - Кейс 1 — боковой ракурс до лечения
ДО
ПОСЛЕ