<div><img src="https://mc.yandex.ru/watch/49995703" style="position:absolute;left:-9999px" alt=""/></div>Мезиальный прикус - Кейс 1 | Результаты лечения элайнерами Flexiligner: фото до и после

Булгач Галина Игоревна

Врач-ортодонт

Мезиальный прикус - Кейс 1

Эффективность устранения дефекта прикуса посредством элайнеров FlexiLigner.

19

Количество кап НЧ

19

Количество кап ВЧ

Результаты лечения

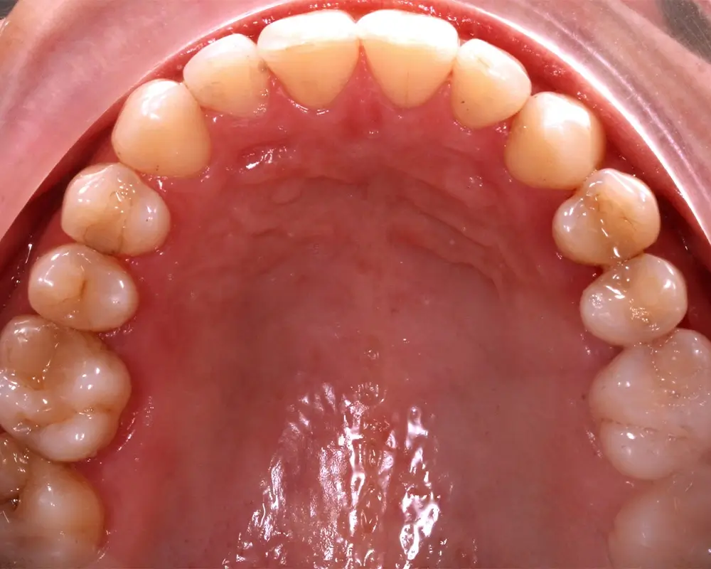
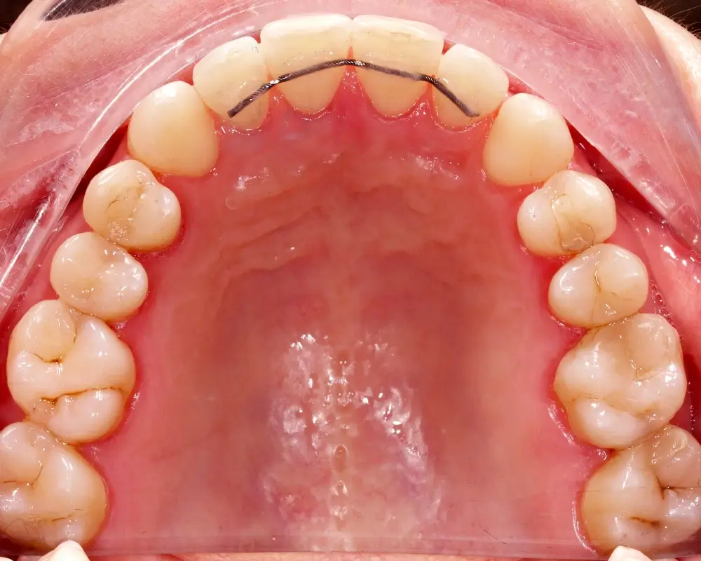
Мезиальный прикус - Кейс 1 — верхняя челюсть после лечения
Мезиальный прикус - Кейс 1 — верхняя челюсть до лечения
ДО
ПОСЛЕ
Мезиальный прикус - Кей�с 1 — нижняя челюсть после лечения
Мезиальный прикус - Кейс 1 — нижняя челюсть до лечения
ДО
ПОСЛЕ
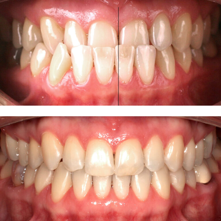
Мезиальный прикус - Кейс 1 — фронтальный ракурс после лечения
Мезиальный прикус - Кейс 1 — фронтальный ракурс до лечения
ДО
ПОСЛЕ
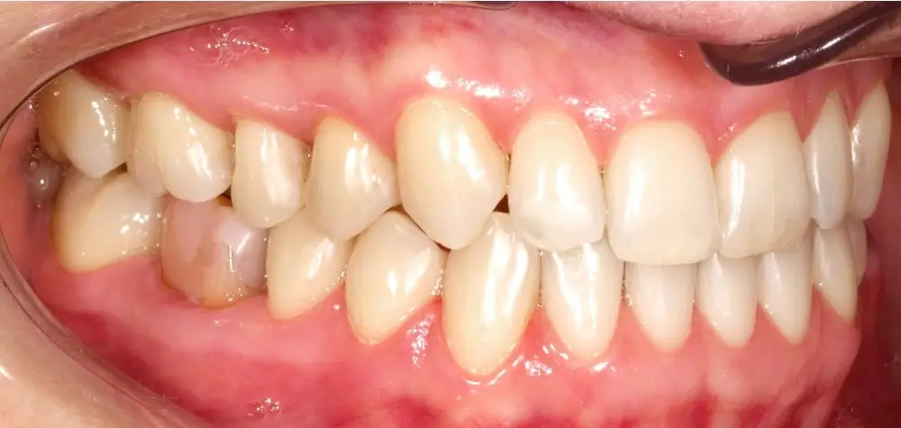
Мезиальный прикус - Кейс 1 — боковой ракурс после лечения
Мезиальный прикус - Кейс 1 — боковой ракурс до лечения
ДО
ПОСЛЕ