<div><img src="https://mc.yandex.ru/watch/49995703" style="position:absolute;left:-9999px" alt=""/></div>Дистальный прикус - Кейс 4 | Результаты лечения элайнерами Flexiligner: фото до и после
Бажанова Ольга Валерьевна

Бажанова Ольга Валерьевна

ортодонт

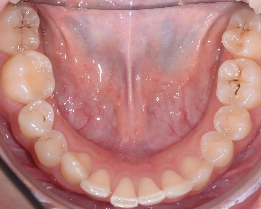
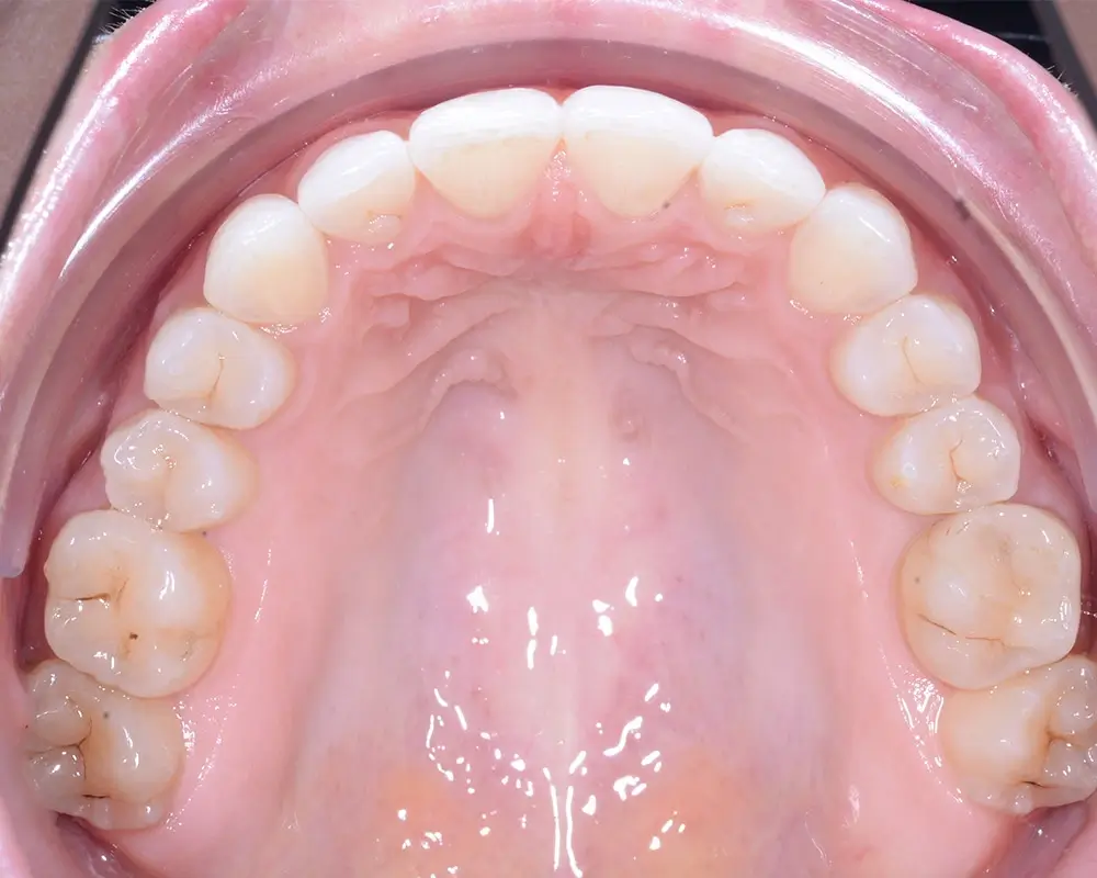
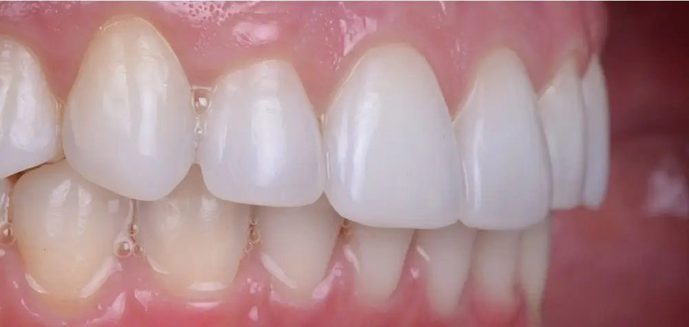
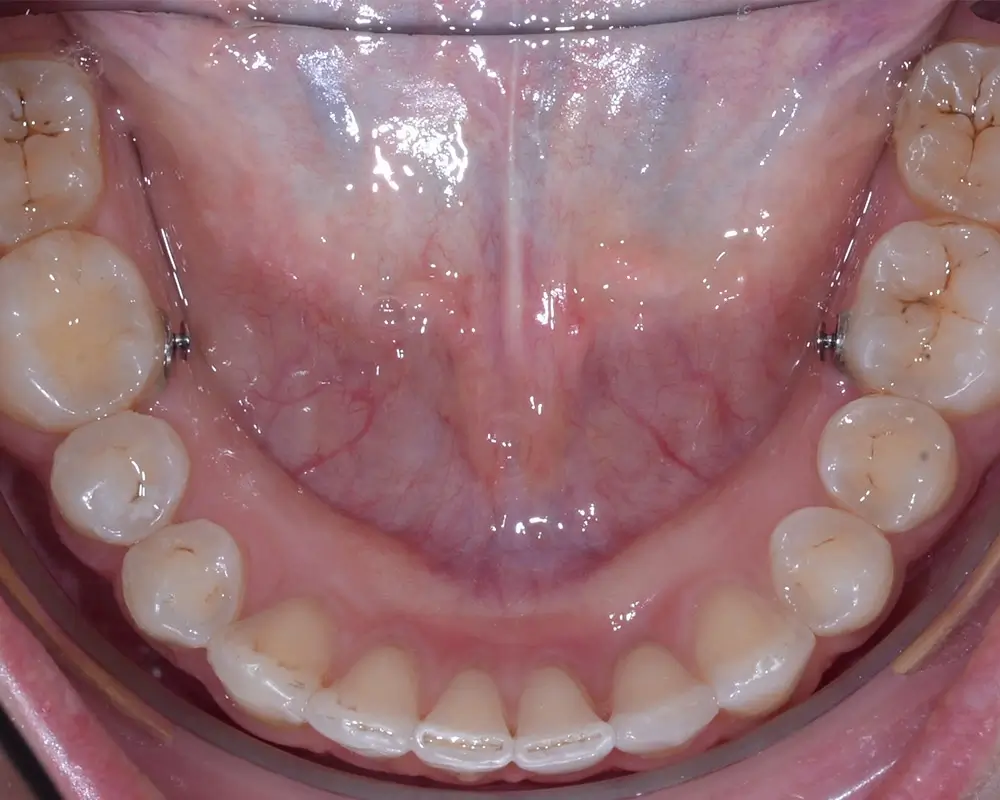
Дистальный прикус - Кейс 4

Эффективность устранения дефекта прикуса посредством элайнеров FlexiLigner.

26

Количество кап НЧ

18

Количество кап ВЧ

Результаты лечения