<div><img src="https://mc.yandex.ru/watch/49995703" style="position:absolute;left:-9999px" alt=""/></div>Дистальный прикус - Кейс 10 | Результаты лечения элайнерами Flexiligner: фото до и после

Акинфиева Анна Владимировна

Ортодонт

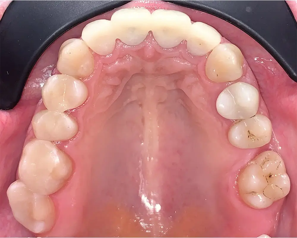
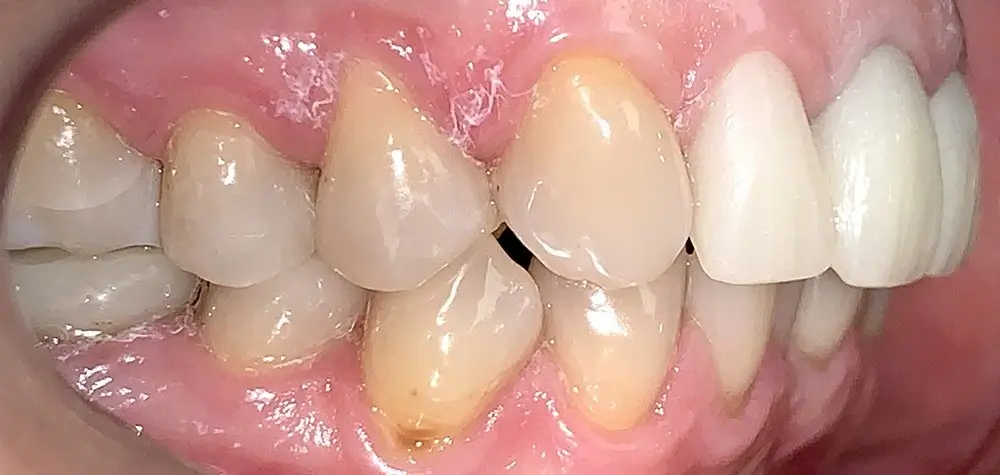
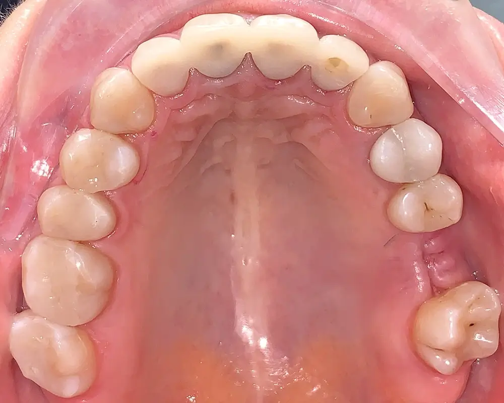
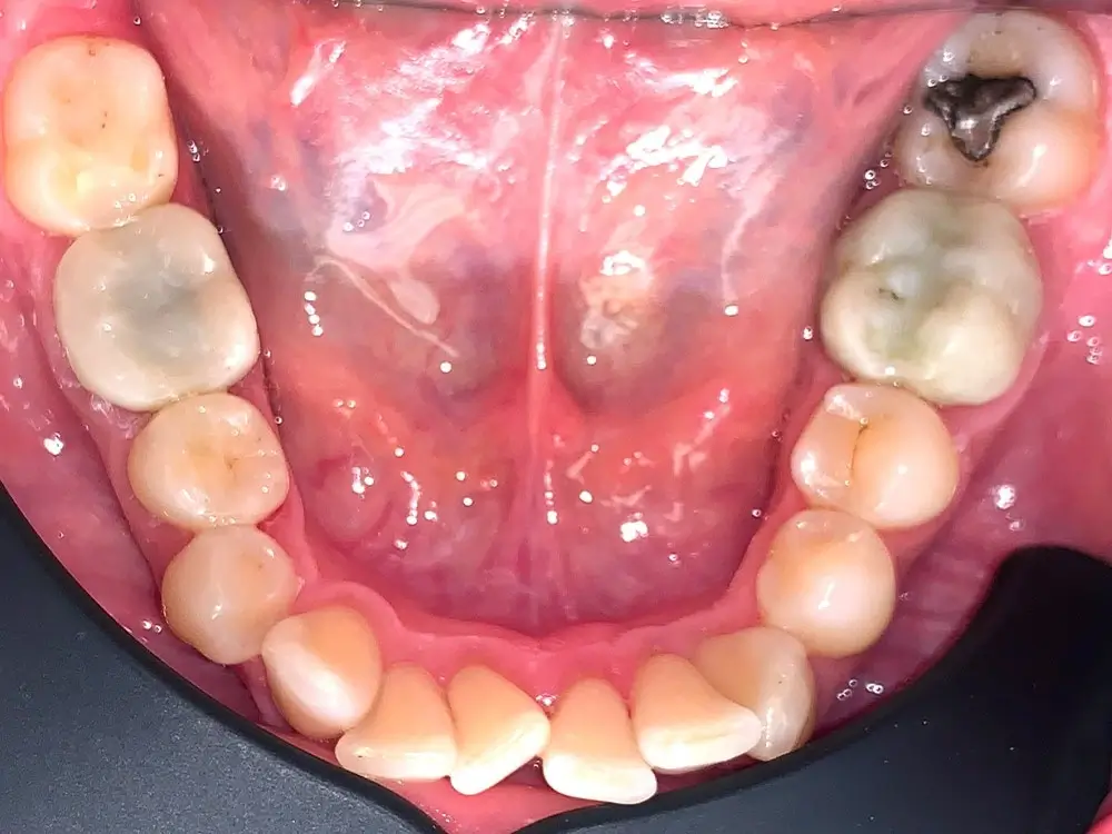
Дистальный прикус - Кейс 10

Эффективность устранения дефекта прикуса посредством элайнеров FlexiLigner.

35

Количество кап НЧ

20

Количество кап ВЧ

Результаты лечения