<div><img src="https://mc.yandex.ru/watch/49995703" style="position:absolute;left:-9999px" alt=""/></div>Детские кейсы - Кейс 3 | Результаты лечения элайнерами Flexiligner: фото до и после

Самошкина Наталья Олеговна

Врач-ортодонт

Детские кейсы - Кейс 3

Эффективность устранения дефекта прикуса посредством элайнеров FlexiLigner.

36

Количество кап НЧ

36

Количество кап ВЧ

Результаты лечения

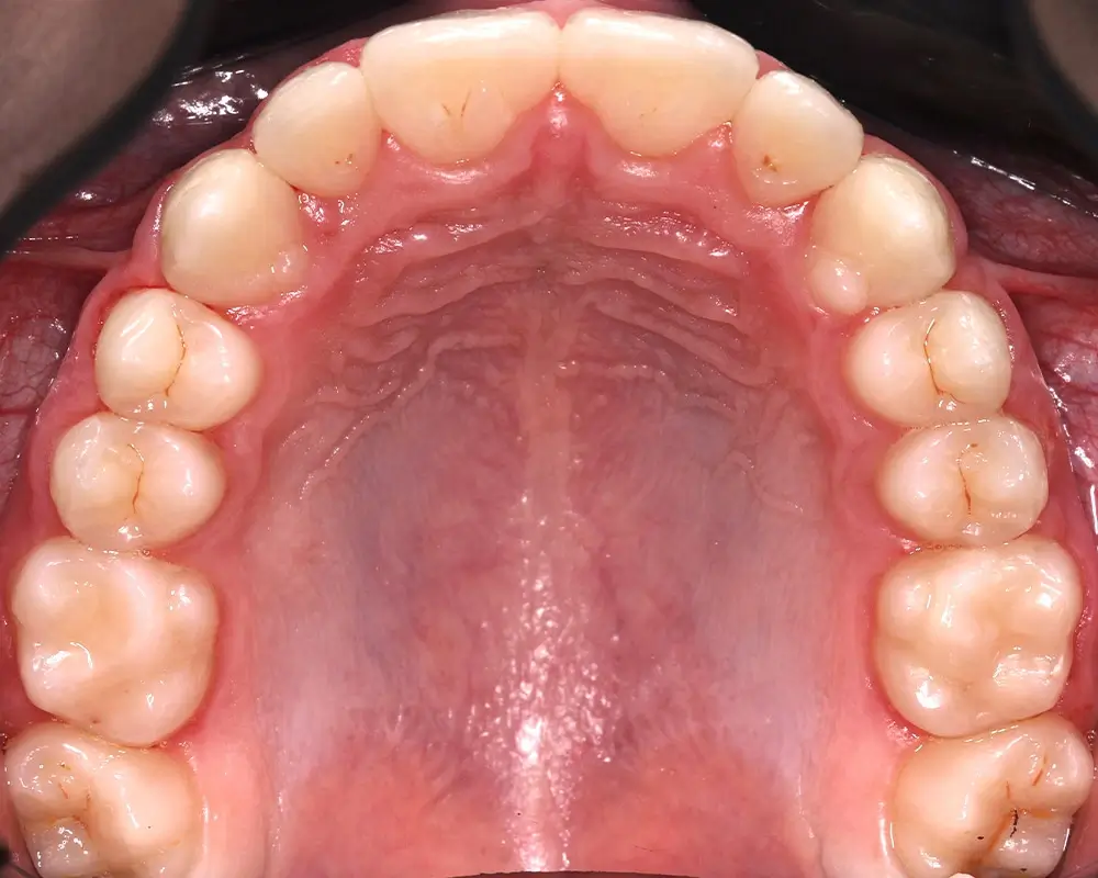
Детские кейсы - Кейс 3 — верхняя челюсть после лечения
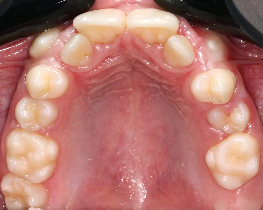
Детские кейсы - Кейс 3 — верхняя челюсть до лечения
ДО
ПОСЛЕ
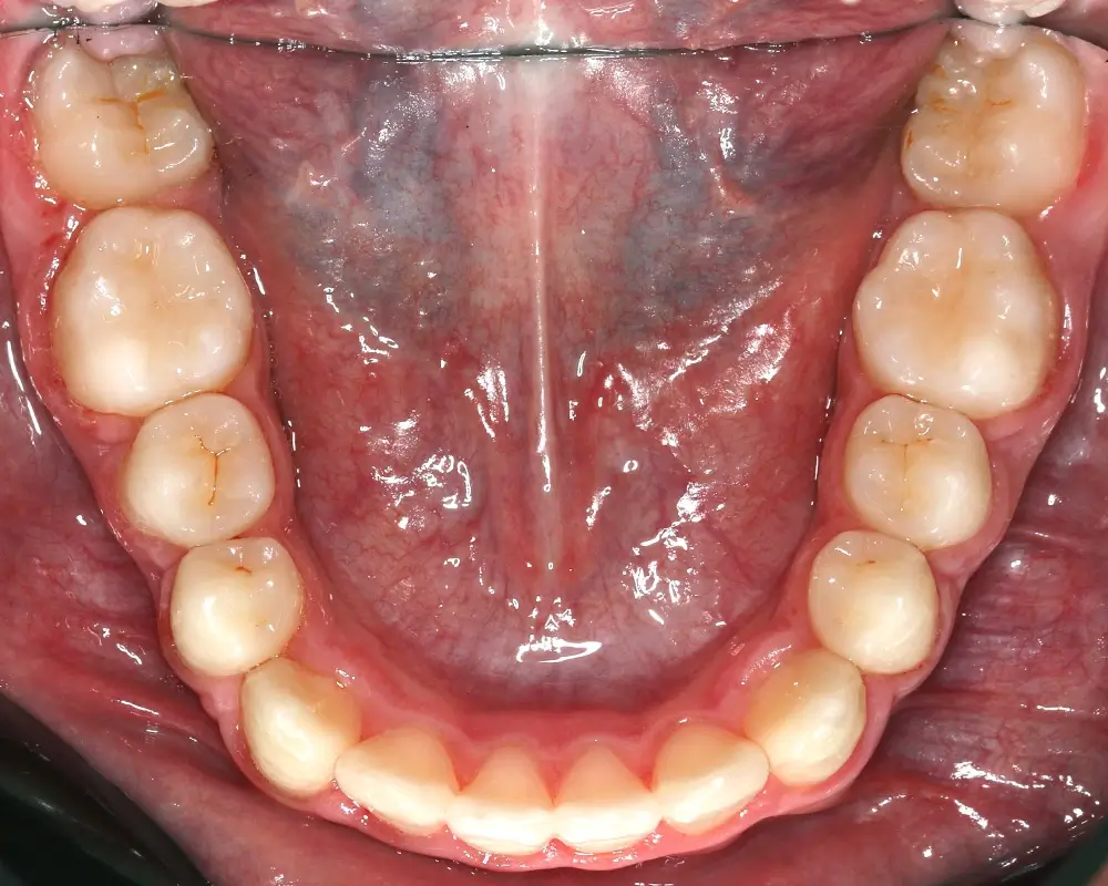
Детские кейсы - Кейс 3 — нижняя челюсть после �лечения
Детские кейсы - Кейс 3 — нижняя челюсть до лечения
ДО
ПОСЛЕ
Детские кейсы - Кейс 3 — фронтальный ракурс после лечения
Детские кейсы - Кейс 3 — фронтальный ракурс до лечения
ДО
ПОСЛЕ
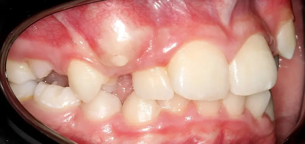
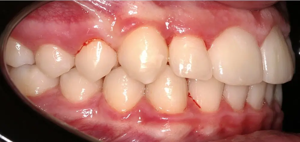
Детские кейсы - Кейс 3 — боковой ракурс после лечения
Детские кейсы - Кейс 3 — боковой ракурс до лечения
ДО
ПОСЛЕ