<div><img src="https://mc.yandex.ru/watch/49995703" style="position:absolute;left:-9999px" alt=""/></div>Детские кейсы - Кейс 2 | Результаты лечения элайнерами Flexiligner: фото до и после

Мхитарян Лиана Гагиковна

Врач-ортодонт

Детские кейсы - Кейс 2

Эффективность устранения дефекта прикуса посредством элайнеров FlexiLigner.

12

Количество кап НЧ

16

Количество кап ВЧ

Результаты лечения

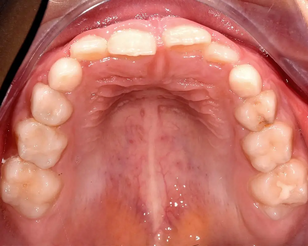
Детские кейсы - Кейс 2 — верхняя челюсть после лечения
Детские кейсы - Кейс 2 — верхняя челюсть до лечения
ДО
ПОСЛЕ
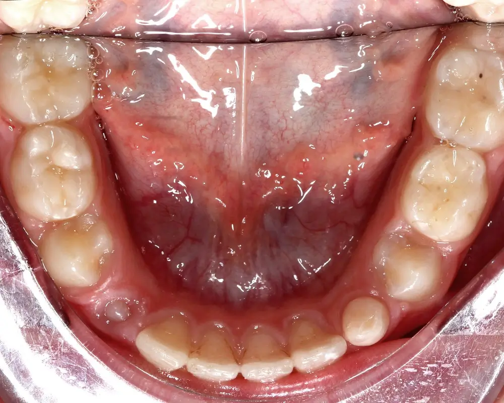
Детские кейсы - Кейс 2 — нижняя челюсть после л�ечения
Детские кейсы - Кейс 2 — нижняя челюсть до лечения
ДО
ПОСЛЕ
Детские кейсы - Кейс 2 — фронтальный ракурс после лечения
Детские кейсы - Кейс 2 — фронтальный ракурс до лечения
ДО
ПОСЛЕ
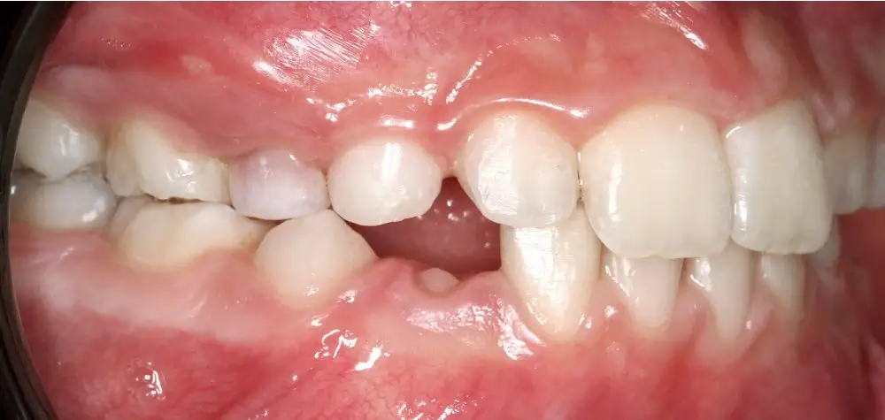
Детские кейсы - Кейс 2 — боковой ракурс после лечения
Детские кейсы - Кейс 2 — боковой ракурс до лечения
ДО
ПОСЛЕ