<div><img src="https://mc.yandex.ru/watch/49995703" style="position:absolute;left:-9999px" alt=""/></div>Доктор Радченко Наталья Валерьевна - Врач-ортодонт | Flexiligner

Портфолио специалиста

Клиники на карте

Загрузка карты...

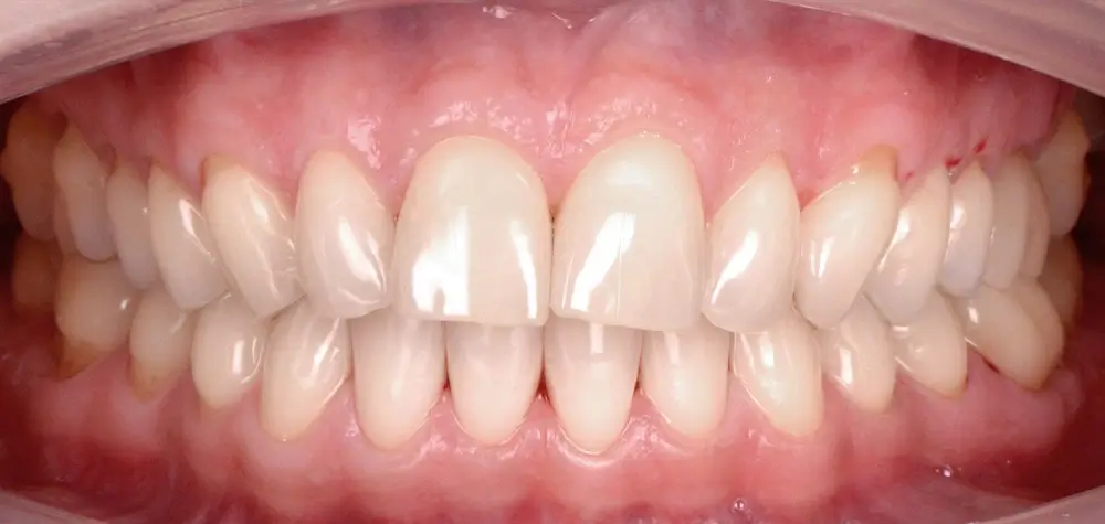
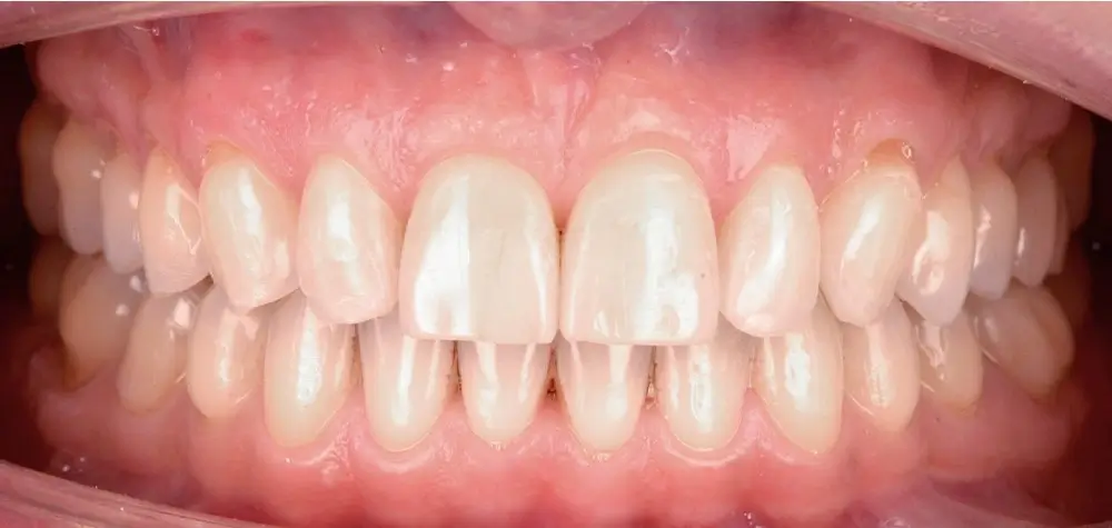
Истории о FlexiLigner от наших пациентов

Наталья

Наталья, 40 лет

Алефтина и Алёна

Алефтина и Алёна

Алина

Алина, 32 года

Даша

Даша, 9 лет

Никита

Никита, 10 лет

Елена

Елена

Алина

Алина

Получить контакт для первичной консультации

Phone
Радченко Наталья Валерьевна

Другие ортодонты