<div><img src="https://mc.yandex.ru/watch/49995703" style="position:absolute;left:-9999px" alt=""/></div>Доктор Гоменюк Елена Валерьевна - Врач-ортодонт | Flexiligner

Портфолио специалиста

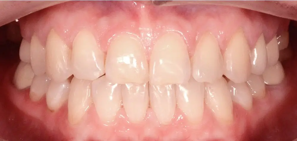
Дистальный прикус - Кейс 15 — вид спереди после лечения
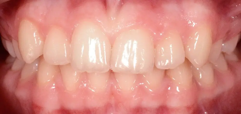
Дистальный прикус - Кейс 15 — вид спереди до лечения
ДО
ПОСЛЕ
Мезиальный прикус - Кейс 6 — вид спереди после лечения
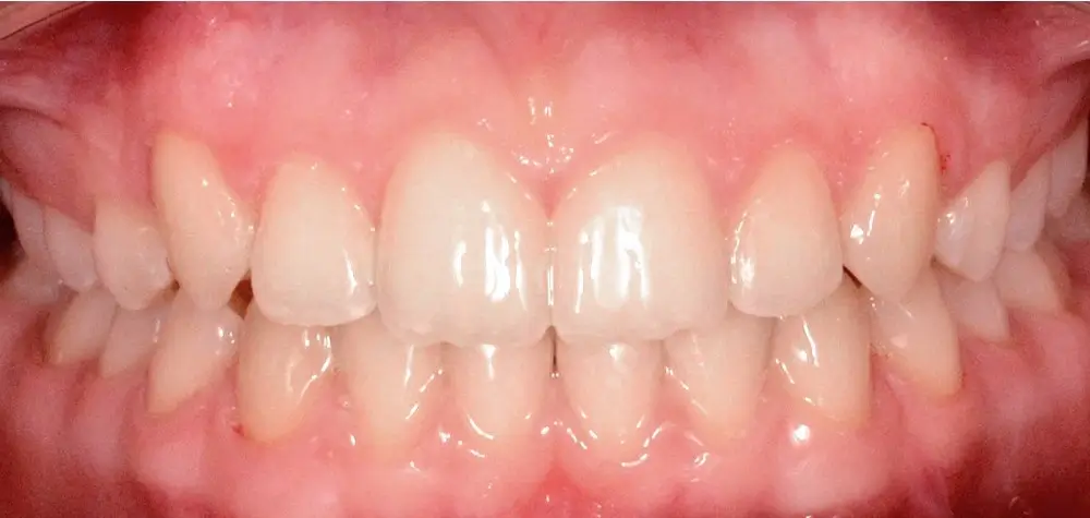
Мезиальный прикус - Кейс 6 — вид спереди до лечения
ДО
ПОСЛЕ

Клиники на карте

Загрузка карты...

Истории о FlexiLigner от наших пациентов

Алина

Алина, 32 года

Даша

Даша, 9 лет

Никита

Никита, 10 лет

Елена

Елена

Алина

Алина

Запись на первичный прием к  Елене Валерьевне

Phone
Гоменюк Елена Валерьевна

Другие ортодонты