<div><img src="https://mc.yandex.ru/watch/49995703" style="position:absolute;left:-9999px" alt=""/></div>Доктор Акинфиева Анна Владимировна - Врач-ортодонт | Flexiligner

Портфолио специалиста

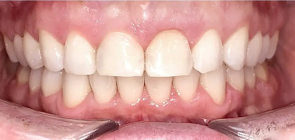
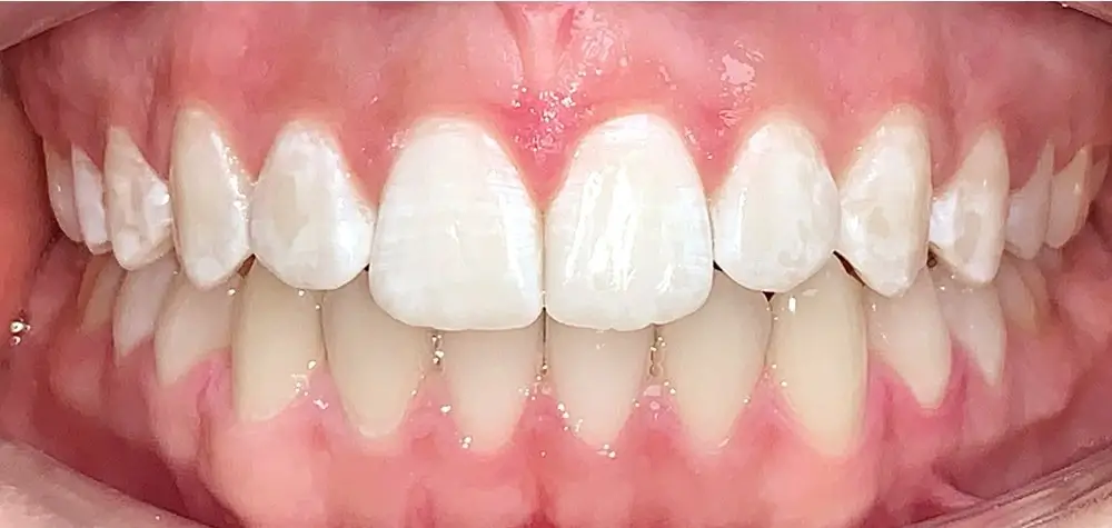
Дистальный прикус - Кейс 11 — вид спереди после лечения
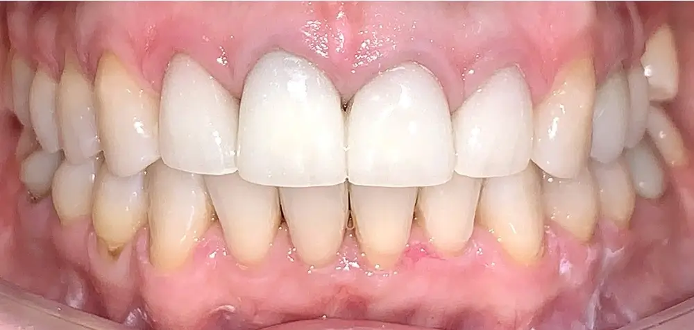
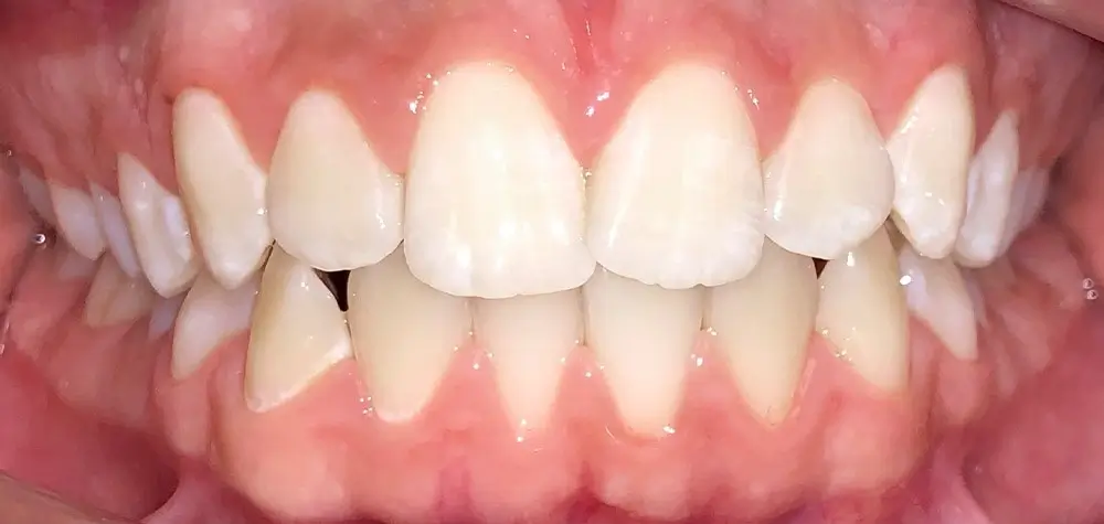
Дистальный прикус - Кейс 11 — вид спереди до лечения
ДО
ПОСЛЕ
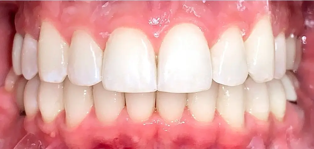
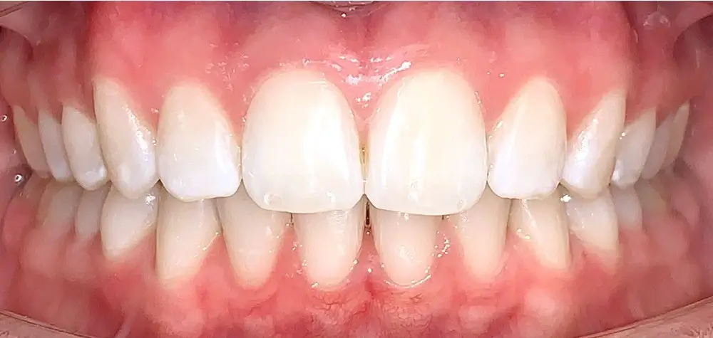
Дистальный прикус - Кейс 10 — вид спереди после лечения
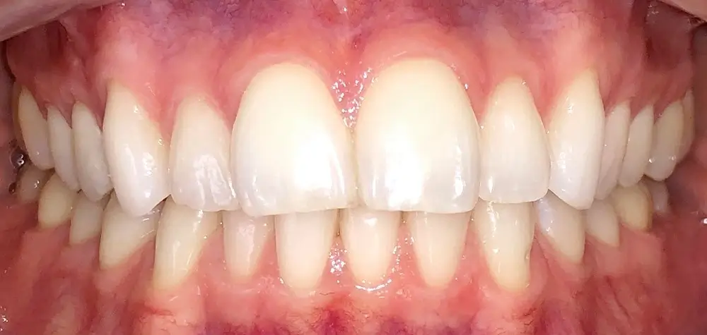
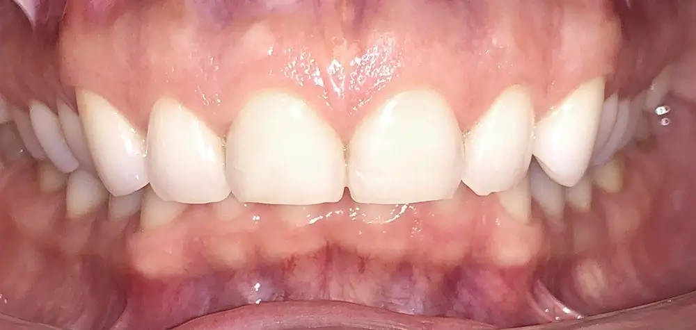
Дистальный прикус - Кейс 10 — вид спереди до лечения
ДО
ПОСЛЕ
Дистальный прикус - Кейс 6 — вид спереди после лечения
Дистальный прикус - Кейс 6 — вид спереди до лечения
ДО
ПОСЛЕ
Мезиальный прикус - Кейс 2 — вид спереди после лечения
Мезиальный прикус - Кейс 2 — вид спереди до лечения
ДО
ПОСЛЕ
Перекрестный прикус - Кейс 9 — вид спереди после лечения
Перекрестный прикус - Кейс 9 — вид спереди до лечения
ДО
ПОСЛЕ
Скученность - Кейс 18 — вид спереди после лечения
Скученность - Кейс 18 — вид спереди до лечения
ДО
ПОСЛЕ
Скученность - Кейс 16 — вид спереди после лечения
Скученность - Кейс 16 — вид спереди до лечения
ДО
ПОСЛЕ
Скученность - Кейс 11 — вид спереди после лечения
Скученность - Кейс 11 — вид спереди до лечения
ДО
ПОСЛЕ
Скученность - Кейс 5 — вид спереди после лечения
Скученность - Кейс 5 — вид спереди до лечения
ДО
ПОСЛЕ

Клиники на карте

Загрузка карты...

Истории о FlexiLigner от наших пациентов

Алина

Алина, 32 года

Даша

Даша, 9 лет

Никита

Никита, 10 лет

Елена

Елена

Алина

Алина

Запись на первичный прием к  Анне Владимировне

Phone
Акинфиева Анна Владимировна

Другие ортодонты