<div><img src="https://mc.yandex.ru/watch/49995703" style="position:absolute;left:-9999px" alt=""/></div>Перекрестный прикус - Кейс 11 | Результаты лечения элайнерами Flexiligner: фото до и после

Самошкина Наталья Олеговна

Врач-ортодонт

Перекрестный прикус - Кейс 11

Эффективность устранения дефекта прикуса посредством элайнеров FlexiLigner.

23

Количество кап НЧ

23

Количество кап ВЧ

Результаты лечения

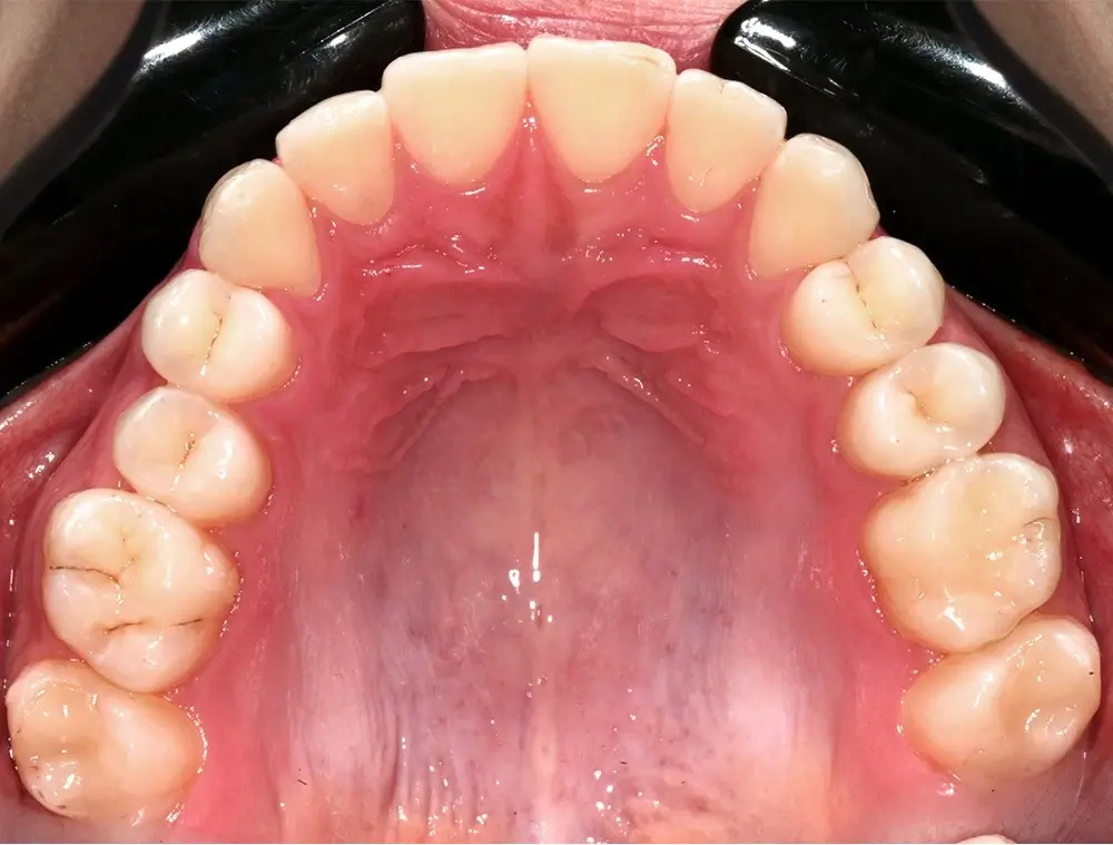
Перекрестный прикус - Кейс 11 — верхняя челюсть после лечения
Перекрестный прикус - Кейс 11 — верхняя челюсть до лечения
ДО
ПОСЛЕ
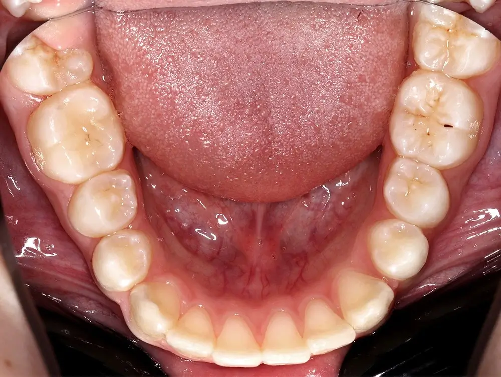
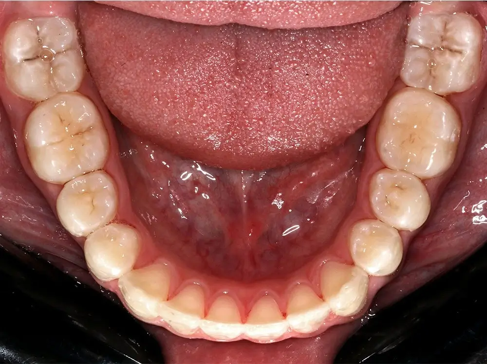
Перекрестный прикус - Кейс 11 — нижняя челюсть после лечения
Перекрестный прикус - Кейс 11 — нижняя челюсть до лечения
ДО
ПОСЛЕ
Перекрестный прикус - Кейс 11 — фронтальный ракурс после лечения
Перекрестный прикус - Кейс 11 — фронтальный ракурс до лечения
ДО
ПОСЛЕ
Перекрестный прикус - Кейс 11 — боковой ракурс после лечения
Перекрестный прикус - Кейс 11 — боковой ракурс до лечения
ДО
ПОСЛЕ