<div><img src="https://mc.yandex.ru/watch/49995703" style="position:absolute;left:-9999px" alt=""/></div>Мезиальный прикус - Кейс 7 | Результаты лечения элайнерами Flexiligner: фото до и после

Мхитарян Лиана Гагиковна

Ортодонт

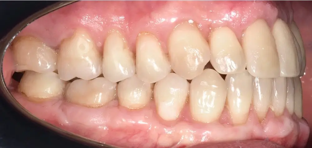
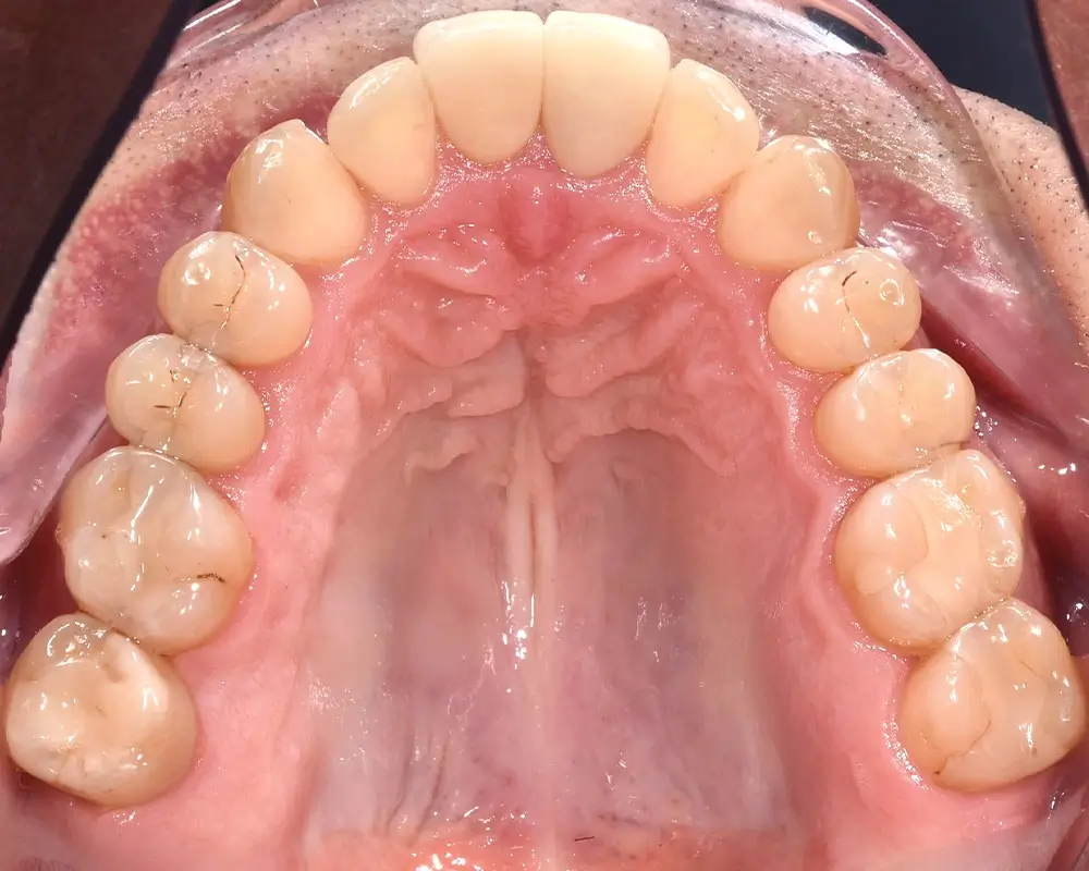
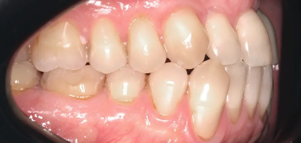
Мезиальный прикус - Кейс 7

Эффективность устранения дефекта прикуса посредством элайнеров FlexiLigner.

32

Количество кап НЧ

32

Количество кап ВЧ

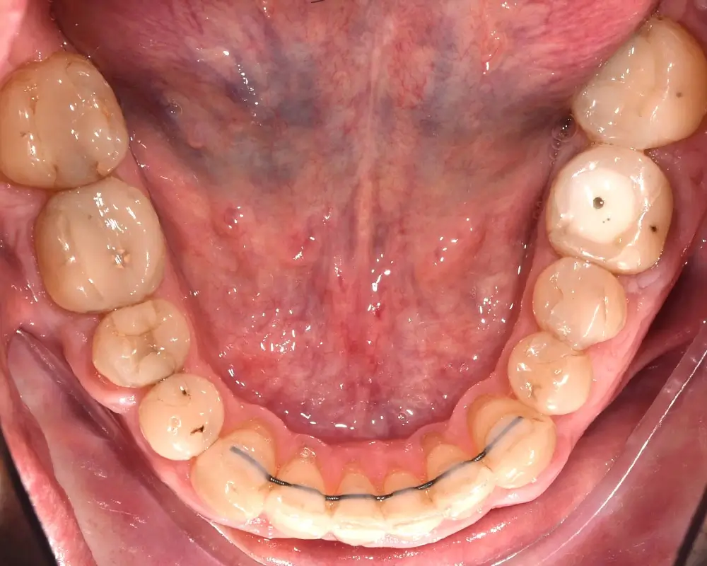
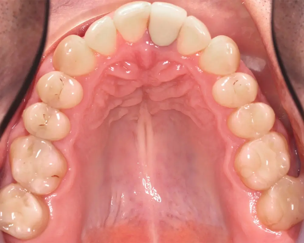
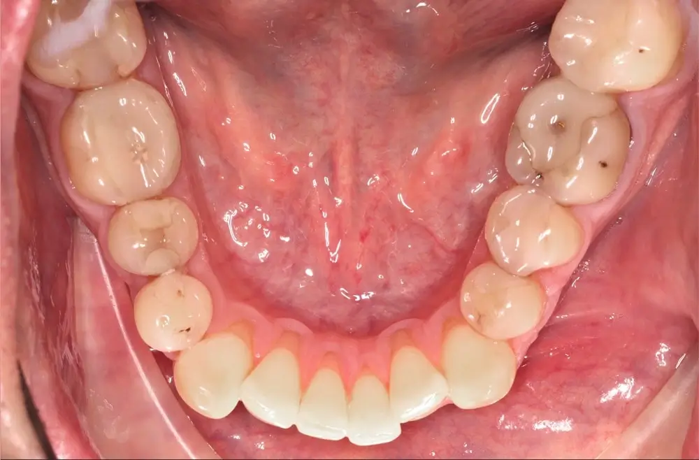
Результаты лечения