<div><img src="https://mc.yandex.ru/watch/49995703" style="position:absolute;left:-9999px" alt=""/></div>Детские кейсы - Кейс 1 | Результаты лечения элайнерами Flexiligner: фото до и после

Мхитарян Лиана Гагиковна

Ортодонт

Детские кейсы - Кейс 1

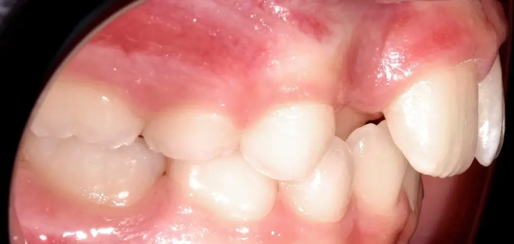
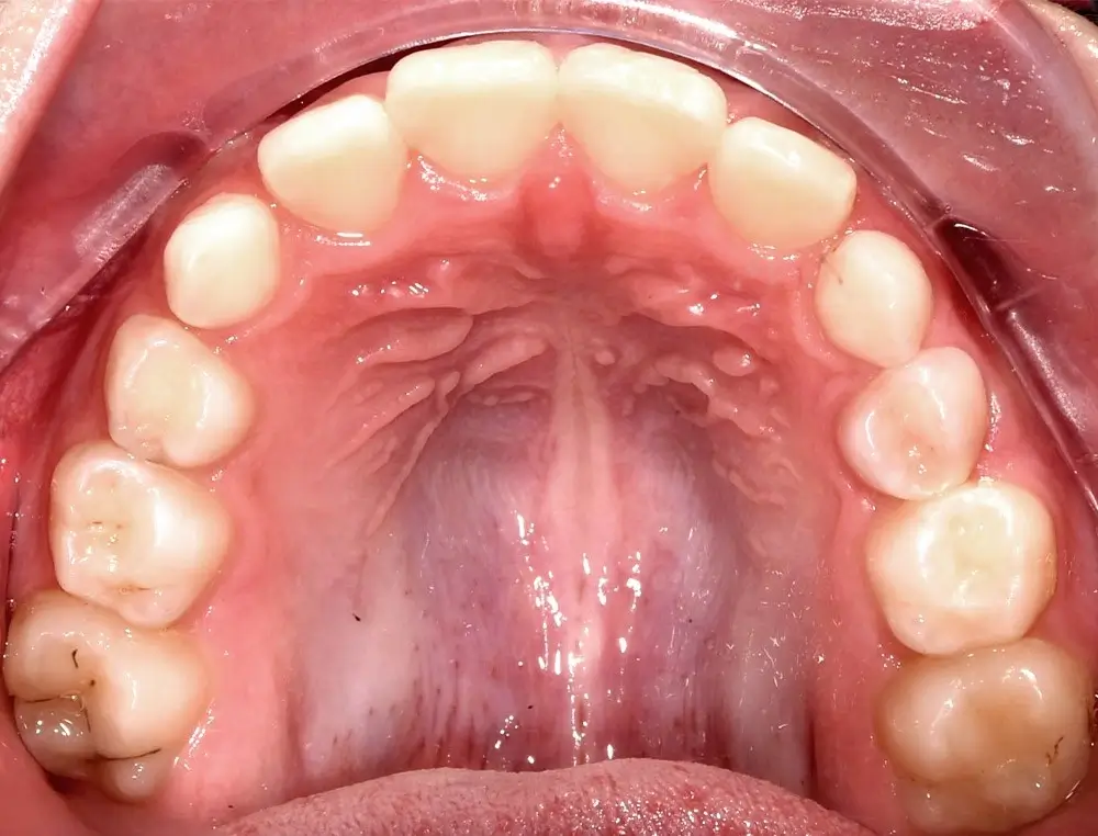
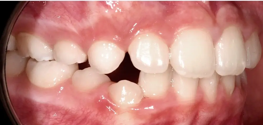
Эффективность устранения дефекта прикуса посредством элайнеров FlexiLigner.

8

Количество кап НЧ

8

Количество кап ВЧ

Результаты лечения